Los tumores de los cordones sexuales-estroma. Recordemos que la Trofología avanzada (binipatia), tiene el extraordinario poder de eliminación de las células cancerígenas (tumores), al igual que su maravillosa estrategia para detener el cáncer, al provocar la muerte de las células del cáncer por hambre. Esta es la maravillosa estrategia de la Trofología avanzada, hacer morir de hambre al cáncer mientras …
Leer MásT
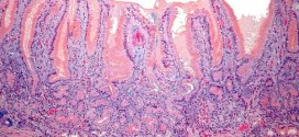
TUMORES DEL CARDIAS
Los tumores del cardias. Tumores malignos en general y especialmente el formado por células epiteliales. El CARDIAS comunica el ESÓFAGO con el ESTÓMAGO. El tumor del cardias puede ser del tipo espinocelular, con mayor o menor diferenciación o un adenocarcinoma. Mientras más alto se localiza el tumor en el esófago, con mayor probabilidad se trata de un cáncer espinocelular, en …
Leer MásTUMORES GENITALES FEMENINOS
Los tumores genitales femeninos. Recordemos que la Trofología avanzada (binipatia), tiene el extraordinario poder de eliminación de las células cancerígenas (tumores), al igual que su maravillosa estrategia para detener el cáncer, al provocar la muerte de las células del cáncer por hambre. Esta es la maravillosa estrategia de la Trofología avanzada, hacer morir de hambre al cáncer mientras alimenta a …
Leer MásTUMORES TRANSGLÓTICOS
Los tumores transglóticos. Durante los primeros años de vida de una persona, las células normales se dividen más rápidamente para permitir el crecimiento. El cuerpo está compuesto por billones de células vivas. Las células normales del cuerpo crecen, se dividen formando nuevas células y mueren de manera ordenada. Una vez que se llega a la edad adulta, la mayoría de …
Leer MásTUMOR OVÁRICO VIRILIZANTE
El tumor ovárico virilizante. Recordemos que la Trofología avanzada (binipatia), tiene el extraordinario poder de eliminación de las células cancerígenas (tumores), al igual que su maravillosa estrategia para detener el cáncer, al provocar la muerte de las células del cáncer por hambre. Esta es la maravillosa estrategia de la Trofología avanzada, hacer morir de hambre al cáncer mientras alimenta a …
Leer MásTUMOR MALIGNO DE LAS CUERDAS VOCALES
El tumor maligno de las cuerdas vocales. La laringe tiene varias funciones. La más conocida de ellas es la fonación o producción del sonido que luego se modula con la lengua y los labios para dar lugar a la voz. Sin embargo, la deglución o función de tragar no es menos importante. Muchas personas se imaginan a las cuerdas vocales …
Leer MásTUMOR MALIGNO DE PRÓSTATA
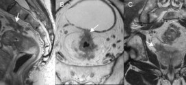
El tumor maligno de próstata. Publicado en: binipatia.com Escrito por: Salvador Gregori y Daniel Lynch Etiquetas: sentido común, reishi, curcumina, té verde Tiene la forma de una nuez y está situado debajo de la vejiga urinaria, envolviendo la uretra, que es el conducto por el que circula la orina. Las secreciones prostáticas variar según la especie. Por lo general se compone de …
Leer MásTUMOR METASTÁSICO DE BAZO
El tumor metastásico de bazo. Tumor maligno en general y especialmente el formado por células epiteliales, a saber. Los canceres se dividen en dos grandes categorías de carcinoma y sarcoma u otros. La característica básica de la malignidad es una anormalidad de las células, transmitida a las células hijas, que se manifiesta por la reducción del control del crecimiento y …
Leer MásTUMOR SEBÁCEO
El tumor sebáceo. Tumor, quiste, etc; normalmente es benigno constituido por una masa circunscrita de tejido adiposo ó constituidos por la proliferación de tejido celular subcutáneo. Es un tumor, quiste, absceso, etc; benigno compuesto de tejido adiposo, a veces encapsulado que se manifiestan como masas redondas bien definidas con una pared visible y homogénea. Tiene un crecimiento lento de masa …
Leer MásTUMOR VESICAL QUE INVADE LA PARED PÉLVICA (T4B)
El tumor vesical que invade la pared pélvica (T4B). La vejiga urinaria es un órgano hueco musculo membranoso que forma parte del tracto urinario y que recibe la orina de los uréteres y la expulsa a través de la uretra al exterior del cuerpo durante la micción. Está situada en la pelvis. Por delante está fijada al pubis y por …
Leer MásTUMOR VESICAL QUE INVADE MÚSCULO (T2)
El tumor vesical que invade músculo (T2). La vejiga es un órgano que almacena la orina a baja presión, se vacía por completo de forma voluntaria y mantiene la continencia en los intervalos. Anatómicamente está formada por dos capas diferentes: una mucosa en contacto con la orina que se denomina urotelio y un músculo llamado detrusor, situado en profundidad y …
Leer MásTUMORES ANTRALES
Los tumores antrales. Durante los primeros años de vida de una persona, las células normales se dividen más rápidamente para permitir el crecimiento. El cuerpo está compuesto por billones de células vivas. Las células normales del cuerpo crecen, se dividen formando nuevas células y mueren de manera ordenada. Una vez que se llega a la edad adulta, la mayoría de …
Leer MásTUMORES HILIARES
Los tumores hiliares. Es una enfermedad por la cual se forman células malignas cancerosas en los tejidos de la vesícula biliar es una enfermedad poco frecuente por la que se encuentran células cancerosas en los tejidos de la vesícula biliar. La vesícula biliar es un órgano glándula en forma de pera alargada situado por debajo del hígado, en la parte …
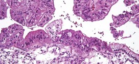
Leer MásTUMORES MUCÍNOSOS DEL OVARIO
Los tumores mucínosos del ovario. Recordemos que la Trofología avanzada (binipatia), tiene el extraordinario poder de eliminación de las células cancerígenas (tumores), al igual que su maravillosa estrategia para detener el cáncer, al provocar la muerte de las células del cáncer por hambre. Esta es la maravillosa estrategia de la Trofología avanzada, hacer morir de hambre al cáncer mientras alimenta …
Leer MásTUMOR MALIGNO DEL ESÓFAGO
El tumor maligno del esófago. Tumor maligno en general y especialmente formado por células epiteliales. Los canceres se dividen en dos grandes categorías de carcinoma y adenocarcinoma, a saber. Durante los primeros años de vida de una persona, las células normales se dividen más rápidamente para permitir el crecimiento. El cuerpo está compuesto por billones de células vivas. Las células …
Leer MásTUMOR PANCREÁTICO EXOCRINO.
El tumor pancreático exocrino. Durante los primeros años de vida de una persona, las células normales se dividen más rápidamente para permitir el crecimiento. El cuerpo está compuesto por billones de células vivas. Las células normales del cuerpo crecen, se dividen formando nuevas células y mueren de manera ordenada. Una vez que se llega a la edad adulta, la mayoría …
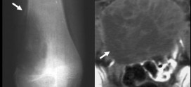
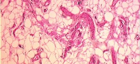
Leer MásTUMORES ADIPOSOS
Los tumores adiposos. Tumor, quiste, etc; normalmente es benigno constituido por una masa circunscrita de tejido adiposo ó constituidos por la proliferación de tejido celular subcutáneo. Es un tumor, quiste, absceso, etc; benigno compuesto de tejido adiposo, a veces encapsulado que se manifiestan como masas redondas bien definidas con una pared visible y homogénea. Tiene un crecimiento lento de masa …
Leer MásTUMORES MALIGNOS DE LAS GLÁNDULAS SALIVARES
Los tumores malignos de las glándulas salivares. Las glándulas salivales están localizadas alrededor de la boca y producen la saliva que humedece los alimentos para ayudar con la masticación y la deglución. La saliva contiene enzimas que comienzan el proceso de digestión y ayudan a limpiar la boca, eliminando bacterias y partículas de alimentos. Al mantener la boca húmeda, la …
Leer MásTENSION ARTERIAL MALIGNA
La tensión arterial maligna. Nombres alternativos: Hipertensión acelerada; Nefrosclerosis arteriolar; Nefrosclerosis de tipo arteriolar; Hipertensión arterial maligna. Por: Salvador Gregori Resumiendo: Aumento del tono tensión en general; especialmente aumento de la presión vascular o sanguínea. De ello se derivan algunas cifras medias hipertensión arterial en el hombre: de 40 años: 14/8; de 50 años: 15/8,5; de 60 años: 16/9; de …
Leer MásTUMOR DE KLATSKIN
El tumor de klatskin. El sistema para drenar la bilis, incluye los conductos o vías extrahepático, conductos biliares intra y la vesícula biliar. Son como una red de cañerías, llamados conductos que están conectados con la vesícula biliar, el intestino delgado y el hígado. Se trata de un tipo de cáncer extremadamente raro y agresivo de las vías biliares que …
Leer Más
Binipatia e higienismo Medicina natural alternativa, plantas medicinales y remedios caseros naturales