El tumor cutáneo. Existen dos tipos principales de cáncer cutáneo: El melanoma es un tumor maligno originado en los melanocitos, que son unas células que producen melanina (pigmento que absorbe los rayos ultravioleta). Los melanocitos se localizan en la piel, los pelos, los ojos, el sistema nervioso central, las mucosas y los oídos. Los epiteliomas cutáneos son tumores malignos originados …
Leer MásT
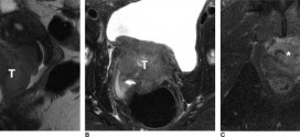
TUMOR VESICAL QUE INVADE LA MITAD INTERNA
El tumor vesical que invade la mitad interna (T2a). Tumor maligno en general y especialmente el formado por células epiteliales, a saber. Durante los primeros años de vida de una persona, las células normales se dividen más rápidamente para permitir el crecimiento. El cuerpo está compuesto por billones de células vivas. Las células normales del cuerpo crecen, se dividen formando …
Leer MásTUMOR BORDERLINE MUCINOSO GIGANTE DE OVARIO
El tumor borderline mucinoso gigante de ovario. Ver cáncer de ovario. Si fuese de su deseo le podemos elaborar un plan trofológico personalizado para usted.
Leer MásTUMOR MALIGNO DE LAS CÉLULAS DE LOS ISLOTES PANCREÁTICOS
El tumo maligno de las células de los islotes pancreáticos. El páncreas es una glándula de aproximadamente seis pulgadas con forma de una pera pequeña que descansa sobre su costado. El extremo más grande del páncreas se llama la cabeza, la sección media se llama el cuerpo y el final angosto se llama la cola. El páncreas descansa detrás del estómago y delante de la columna vertebral. …
Leer MásTUMORES DE LAS CÉLULAS DE LA GRANULOSA OVÁRICO
Los tumores de las células de la granulosa ovárico. Ver cáncer de ovario. Si fuese de su deseo le podemos elaborar un plan trofológico personalizado para usted.
Leer MásTUMORES DEL MESÉNQUIMA SEXUALMENTE INDIFERENCIADO
Los tumores del mesénquima sexualmente indiferenciado. ver cáncer de ovario. Si fuese de su deseo le podemos elaborar un plan trofológico personalizado para usted.
Leer MásTUMOR VESICAL MACROSCÓPICAMENTE (masa extravesical)
El tumor vesical macroscópicamente (masa extravesical) (T3B). Durante los primeros años de vida de una persona, las células normales se dividen más rápidamente para permitir el crecimiento. El cuerpo está compuesto por billones de células vivas. Las células normales del cuerpo crecen, se dividen formando nuevas células y mueren de manera ordenada. Una vez que se llega a la edad …
Leer MásTUMOR VESICAL MICROSCÓPICAMENTE
El tumor vesical microscópicamente (T3a). Tumor maligno en general. La orina es un líquido formado por agua y sustancias de desecho del organismo. Esta se produce por el filtrado de la sangre en los riñones. A través de unos tubos largos y finos, denominados uréteres, la orina llega a la vejiga y se almacena en ella. La orina, una vez …
Leer MásTUMOR VESICAL QUE INVADE (próstata, útero o vagina)
El tumor vesical que invade (próstata, útero o vagina (T4a). Tumor maligno en general. Publicado en: binipatia.com Escrito por: Salvador Gregori y Daniel Lynch Etiquetas: salud verdadera, resultados Resumiendo: La vejiga urinaria es un órgano hueco musculo membranoso que forma parte del tracto urinario y que recibe la orina de los uréteres y la expulsa a través de la uretra al exterior …
Leer MásTUMOR ESPLENICO MALIGNO
El tumor esplénico maligno. Tumor maligno en general y especialmente el formado por células epiteliales, a saber. Los canceres se dividen en dos grandes categorías de carcinoma y sarcoma u otros. La característica básica de la malignidad es una anormalidad de las células, transmitida a las células hijas, que se manifiesta por la reducción del control del crecimiento y la …
Leer MásTUMOR OVÁRICO MUCINOSO
Los tumores mucinosos están caracterizados por quistes y glándulas revestidas por células que contienen moco. Representan un 15% de los tumores ováricos. Aproximadamente un 75% son benignos, un 10% borderline; y un 15%, carcinomas. Los tumores de ovario mucinoso, representan el 15% de los tumores epiteliales de ovario, pudiendo corresponder a la estirpe serosa, mucinosa, endometrioide, células claras o células …
Leer MásTUMORES DE LAS GLÁNDULAS SALIVARES
Los tumores de las glándulas salivares. Las glándulas salivales mayores, encargadas de proveer la mayor parte del flujo salivar de la cavidad oral a través de sus respectivos conductos, son las parótidas, las submaxilares y las sublinguales. Además, hay entre 600 y 1000 glándulas salivales menores distribuidas en la lengua, amígdalas, faringe, paladar, cavidad nasal, senos paranasales, laringe y tráquea. …
Leer MásTUMORES MALIGNOS DE LAS VÍAS BILIARES
Los tumores malignos de las vías biliares. La vesícula se localiza en la fosa vesicular, en la cara inferior del hígado. Por lo general su localización es extrahepática. Mide de 7 a 10 centímetros de largo por 3 centímetros de transverso en su cuerpo. El cuerpo vesicular se continúa con el cuello que termina en la ampolla y luego se continúa con un conducto denominado …
Leer MásTUMORES DUODENALES
Los tumores duodenales. Tumores malignos en general y especialmente el formado por células epiteliales. Los tumores duodenales constituyó el 1,6% de las neoplasias malignas gastrointestinales, siendo la correlación endoscópica e histológica de 86,2%. La edad promedio fue de 64,9 años, con predominio del sexo masculino (64%). En los últimos años la incidencia de estos tumores ha presentado un discreto aumento, …
Leer MásTUMORES MALIGNOS DE PRÓSTATA
Los tumores malignos de próstata. Publicado en: binipatia.com Escrito por: Salvador Gregori y Abby Schaffner Etiquetas: sustancias súper nutritivas, tratamiento natural, reishi, vitamina D3 Resumiendo: La próstata es un órgano del sistema reproductor del varón. Es una glándula, con forma de castaña, colocada debajo de la vejiga y por delante del recto. La uretra (conducto por donde sale la orina) atraviesa la …
Leer MásTUMOR DEL SULCUS SUPERIOR
El tumor del sulcus superior. Durante los primeros años de vida de una persona, las células normales se dividen más rápidamente para permitir el crecimiento. El cuerpo está compuesto por billones de células vivas. Las células normales del cuerpo crecen, se dividen formando nuevas células y mueren de manera ordenada. Una vez que se llega a la edad adulta, la …
Leer MásTUMOR MALIGNO DEL BAZO
El tumor maligno del bazo. Tumor maligno en general y especialmente el formado por células epiteliales, a saber. Los canceres se dividen en dos grandes categorías de carcinoma y sarcoma u otros. Órgano linfoide hematopoyético y hematolítico, de 12,5cn de longitud y 200 gramos de peso, situado profundamente en el hipocondrio (región superior y lateral del abdomen a cada lado …
Leer MásTUMOR MALIGNO DE MAMA
El tumor maligno de mama. Durante los primeros años de vida de una persona, las células normales se dividen más rápidamente para permitir el crecimiento. El cuerpo está compuesto por billones de células vivas. Las células normales del cuerpo crecen, se dividen formando nuevas células y mueren de manera ordenada. Una vez que se llega a la edad adulta, la …
Leer MásTUMOR MALIGNO DE LA HIPOFARINGE
El tumor maligno de la hipofaringe. La hipofaringe es la parte inferior de la faringe (garganta). La faringe es un tubo hueco de aproximadamente cinco pulgadas de largo que se inicia detrás de la nariz, desciende por detrás del cuello y termina encima de la tráquea y el esófago (el tubo que va de la garganta al estómago). El aire y los alimentos pasan por la faringe en su …
Leer MásTUMOR DE MELANOBLASTOS
El tumor de melanoblastos. Tumor maligno ó manchas malignas en general y especialmente el formado por células epiteliales o pigmentarias. La característica básica de la malignidad es una anormalidad de las células, trasmitida a las células hijas, a saber, que se manifiesta por la reducción del control del crecimiento y la función celular, conduciendo a una serie de fenómenos adversos …
Leer Más
Binipatia e higienismo Medicina natural alternativa, plantas medicinales y remedios caseros naturales