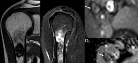
El tumor óseo maligno primario. Los cánceres que comienzan en los huesos se denominan tumores óseos primarios. Durante los primeros años de vida de una persona, las células normales se dividen más rápidamente para permitir el crecimiento. El cuerpo está compuesto por billones de células vivas. Las células normales del cuerpo crecen, se dividen formando nuevas células y mueren de …
Leer MásT
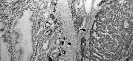
TUMOR PRIMARIO MALIGNO DEL HUESO TEMPORAL
El tumor primario maligno del hueso temporal. Durante los primeros años de vida de una persona, las células normales se dividen más rápidamente para permitir el crecimiento. El cuerpo está compuesto por billones de células vivas. Las células normales del cuerpo crecen, se dividen formando nuevas células y mueren de manera ordenada. Una vez que se llega a la edad …
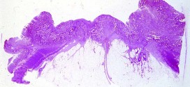
Leer MásTUMOR VESICAL QUE INVADE TEJIDO CONECTIVO SUBEPITELIAL (T1)
El tumor vesical que invade tejido conectivo subepitelial (T1). Tumor maligno en general y especialmente el formado por células epiteliales, a saber. Los canceres se dividen en dos grandes categorías de carcinoma y sarcoma u otros. La característica básica de la malignidad es una anormalidad de las células, transmitida a las células hijas, que se manifiesta por la reducción del …
Leer MásTUMORES CARCINOIDES DEL APARATO DIGESTIVO
Los tumores carcinoides del aparato digestivo. Tumores malignos en general y especialmente el formado por células epiteliales. Los cánceres se dividen en dos grandes categorías de carcinoma y sarcoma, a saber. El aparato digestivo absorbe vitaminas, minerales, hidratos de carbono, grasas, proteínas y agua de los alimentos que comemos y almacena los desechos hasta que el cuerpo los elimina. Este …
Leer MásTUMORES GÁSTRICOS
Los tumores gástricos. Tumores malignos en general y especialmente el formado por células epiteliales. A pesar de que la incidencia del carcinoma gástrico en los países industrializados ha disminuido, continúa siendo el segundo cáncer en el mundo por orden de frecuencia de presentación, con un pronóstico infausto cuando se detecta en etapas avanzadas. Esta disminución puede explicarse por la mejora …
Leer MásTUMORES MALIGNOS DE INTESTINO DELGADO
Los tumores malignos de intestino delgado. El intestino delgado es parte del aparato digestivo del cuerpo, que también incluye el esófago, el estómago y el intestino grueso. El aparato digestivo elimina y procesa nutrientes (vitaminas, minerales, carbohidratos, grasas, proteínas y agua) de los alimentos y ayuda a evacuar los desechos del cuerpo. El intestino delgado es un tubo largo que conecta el estómago con el intestino grueso. Se pliega varias veces para …
Leer MásTRIGLICÉRIDOS, TRIGLICERIDEMIA
Los triglicéridos y trigliceridemia son una variedad de lípidos (grasas), una grasa denominada neutra del suero sanguíneo. Publicado en: binipatia.com Escrito por: Salvador Gregori y Michelle Diggs Etiquetas: magnesio, espirulina, cúrcuma Resumiendo: Los triglicéridos se encuentran circulando en la sangre y se almacenan en el cuerpo dentro del tejido adiposo. Cuando existe una cantidad inusualmente alta de triglicéridos alta en la sangre se habla de hipertrigliceridemia. Los triglicéridos son …
Leer MásTUMOR MALIGNO DE PÁNCREAS
El tumor maligno de páncreas. El páncreas desempeña un papel muy importante en el proceso digestivo, produciendo enzimas esenciales en la digestión de la comida. La otra función del páncreas, que puede describirse como «control del combustible», es la de producir insulina, que afecta a las personas con diabetes. Más del 95% de las células del páncreas son glándulas exocrinas, encargadas …
Leer Más
Binipatia e higienismo Medicina natural alternativa, plantas medicinales y remedios caseros naturales