El adenocarcinoma primario vesical. Durante los primeros años de vida de una persona, las células normales se dividen más rápidamente para permitir el crecimiento. El cuerpo está compuesto por billones de células vivas. Las células normales del cuerpo crecen, se dividen formando nuevas células y mueren de manera ordenada. Una vez que se llega a la edad adulta, la mayoría …
Leer MásEnfermedades
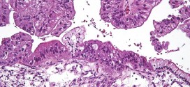
ADENOCARCINOMA PAPILAR DE LA VESÍCULA BILIAR
El adenocarcinoma papilar de la vesícula biliar. Es una enfermedad por la cual se forman células malignas cancerosas en los tejidos de la vesícula biliar es una enfermedad poco frecuente por la que se encuentran células cancerosas en los tejidos de la vesícula biliar. Tumor maligno en general y especialmente el formado por células epiteliales, a saber. Durante los primeros …
Leer MásADENOCARCINOMA PANCREÁTICO
El adenocarcinoma pancreático. Tumor maligno en general y especialmente el formado por células epiteliales, a saber. Durante los primeros años de vida de una persona, las células normales se dividen más rápidamente para permitir el crecimiento. El cuerpo está compuesto por billones de células vivas. Las células normales del cuerpo crecen, se dividen formando nuevas células y mueren de manera …
Leer MásADENOCARCINOMA HEPÁTICO
El adenocarcinoma hepático. Tumor maligno en general y especialmente el formado por células epiteliales, a saber. Durante los primeros años de vida de una persona, las células normales se dividen más rápidamente para permitir el crecimiento. El cuerpo está compuesto por billones de células vivas. Las células normales del cuerpo crecen, se dividen formando nuevas células y mueren de manera …
Leer MásADENOCARCINOMA GÁSTRICO
El adenocarcinoma gástrico. Tumor maligno en general y especialmente el formado por células epiteliales. Durante los primeros años de vida de una persona, las células normales se dividen más rápidamente para permitir el crecimiento. El cuerpo está compuesto por billones de células vivas. Las células normales del cuerpo crecen, se dividen formando nuevas células y mueren de manera ordenada. Una …
Leer MásXERODERMA PIGMENTOSO (precancerosis)
El xeroderma pigmentoso (precancerosis). Tumor maligno ó manchas malignas en general y especialmente el formado por células epiteliales o pigmentarias. Los canceres se dividen en dos grandes categorías de carcinoma y sarcoma. La característica básica de la malignidad es una anormalidad de las células, trasmitida a las células hijas, a saber, que se manifiesta por la reducción del control del …
Leer MásVITÍLIGO
El vitíligo o leucodermia, afección cutánea caracterizada por la aparición de placas blancas, redondeadas de una areola oscura a consecuencia de la repartición desigual del pigmento cutáneo. Vitíligo perinevoide. El que se inicia alrededor de un nevo o nevus (anomalía congénita de la piel, circunscrita, producida por exceso de pigmentación, desarrollo exagerado de los vasos o hipertrofia de los tejidos …
Leer MásÚLCERA VARICOSA
La úlcera varicosa. Por úlcera en general se entiende la solución de continuidad (disolución de la continuidad de un tejido) con pérdida de sustancia debida a un proceso necrótico (necrosis: mortificación, muerte o pérdida de la vitalidad de un tejido del organismo, por Ej., por falta de irrigación sanguínea), de escasa o nula tendencia a la cicatrización. Las úlceras varicosas …
Leer MásTUMOR MALIGNO DE PÁNCREAS
El tumor maligno de páncreas. El páncreas desempeña un papel muy importante en el proceso digestivo, produciendo enzimas esenciales en la digestión de la comida. La otra función del páncreas, que puede describirse como «control del combustible», es la de producir insulina, que afecta a las personas con diabetes. Más del 95% de las células del páncreas son glándulas exocrinas, encargadas …
Leer MásSIDA-VIH
El sida o el VIH, también con otros nombres como: VHI, virus de las inmunodeficiencia humana, síndrome de inmunodeficiencia adquirida, LAV/HTLV III, HIV. Retrovirus de la familia retroviridae, que afecta principalmente los linfocitos T CD4+ (célula sanguínea mononucleada originada en la médula ósea, que se encuentra en la sangre y en los órganos linfoides (ganglios linfáticos, bazo, timo) que interviene …
Leer MásRAYNAUD (enfermedad y síndrome de)
La enfermedad o síndrome de raynaud. Síncope local de las extremidades (dedos blancos y fríos; a veces los pies) seguido o no de una fase de asfixia (dedos violáceos y dolorosos) con retorno al estado normal entre accesos y desencadenamiento de éstos por el frío. La enfermedad de raynaud es idiopática (o esencial), independientemente de un estado mórbido definido y, …
Leer MásQUISTE DE OVARIOS
Los quistes de ovarios, también llamados: ovarios poliquísticos, fibroma de ovarios, síndrome de ovarios poliquísticos (SOP), poliquistosis de ovarios, quiste ovárico, etc. Tumor formado por un saco cerrado, normal o accidental, especialmente el que contiene líquido o sustancia semisólida, también puede ser formado por fibras tipo muscular. Es una formación benigna en la gran mayoría de veces. Pueden estar en …
Leer MásPARKINSON (enfermedad, síndrome de)
El Parkinson o enfermedad o síndrome de Parkinson (parálisis agitante). Se define como temblor rigidez, bradicinesia y alteraciones de la marcha y la postura. Se inicia entre los 40 y los 70 años con una progresión insidiosa. Algunas de las características de esta patología: temblores en reposo, rigidez en las extremidades, disminución del parpadeo, facies inexpresiva, babeo, hipofonía, micrografía, dificultades …
Leer MásOCRODERMATOSIS u OCRODERMIA
La ocrodermatosis o acrodermia. Palidez o amarillez de la piel, sea cual fuera la causa. La piel se ve de color amarillento o pálido. Pues bien una vez diagnosticado cual es la enfermedad o nombre de dicha patología, lo primero que debería de hacer es él no abusar en cremas o pomadas externas. De lo contrario corre el peligro de …
Leer MásNEOPLASIA OVÁRICA
La neoplasia ovárica. Ver cáncer de ovario. Si fuese de su deseo le podemos elaborar un plan trofológico personalizado para usted.
Leer MásMIELOMA MÚLTIPLE
El mieloma múltiple. Tumor de células plasmáticas, localizado fuera de la médula ósea, caracterizado por la presencia de lesiones óseas diseminadas, paraproteína (inmunoglobulina producida por un clon de células plasmocitarias de proliferación patológica) en la sangre y orina, anemia, trombocitopenia (disminución del número de plaquetas en la sangre (trombopenia) y leucopenia (reducción del número de leucocitos (glóbulos blancos de la …
Leer MásCÁNCER EPITELIAL DE OVARIO
El cáncer epitelial de ovario. Ver cáncer de ovario.
Leer MásLENTIGO MALIGNO
El lentigo maligno. Enfermedad premaligna de crecimiento lento debida a la proliferación de melanocitos atípicos en la epidermis, que puede progresar a un melanoma léntigo maligno. El lentigo maligno (LM) es una variante de melanoma in situ que se desarrolla principalmente en áreas de exposición solar crónica en pacientes de edad media-avanzada. Puede evolucionar a su forma invasiva lentigo maligno …
Leer MásKAPOSI
El Kaposi es un cáncer que hace que crezcan lesiones (tejido anormal) en la piel, las membranas mucosas que revisten la boca, la nariz y la garganta, los ganglios linfáticos u otros órganos. Por lo general, las lesiones son púrpuras y están compuestas por células cancerosas, nuevos vasos sanguíneos, glóbulos rojos y glóbulos blancos. El sarcoma de Kaposi es diferente …
Leer MásINSUFICIENCIA RENAL CRÓNICA (IRC)
La insuficiencia renal crónica (IRC), insuficiencia renal aguda (IRA), enfermedad renal ateroembólica, síndrome de goodpasture, etc. Cuando los riñones ya no pueden realizar sus funciones vitales se manifiesta la Insuficiencia Renal Crónica (IRC). En el mundo, más de 1.000.000 personas padecen IRC, lo que significa que sus riñones no podrán volver a funcionar normalmente. Si no modifican de inmediato sus …
Leer Más
Binipatia e higienismo Medicina natural alternativa, plantas medicinales y remedios caseros naturales