La amimia motriz. Incapacidad para llevar a cabo gestos. Incapacidad para expresarse mediante la mímica o los gestos (amimia motriz), o bien para comprender el significado de la mímica o los gestos de los demás (amimia sensorial). La Trofología avanzada cuenta también con un sistema fabuloso de restauración y regeneración Neurológica como lo es: TRNTA (Terapia de Restauración Neurológica …
Leer MásEnfermedades
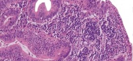
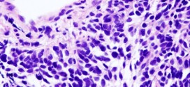
ANGIOSARCOMA DE MAMA
El angiosarcoma de mama. Maligno en general y especialmente los formados por células epiteliares. Durante los primeros años de vida de una persona, las células normales se dividen más rápidamente para permitir el crecimiento. El cuerpo está compuesto por billones de células vivas. Las células normales del cuerpo crecen, se dividen formando nuevas células y mueren de manera ordenada. Una …
Leer MásATAXIA TELANGIECTASIA
La ataxia telangiectasia, también llamado (Síndrome de Louis-bar). La ataxia telangiectasia (AT) es una enfermedad genética, causada por una mutación en el gen ataxia-telangiectasia mutado (ATm), de transmisión autosómica recesiva, que se localiza en el brazo largo del cromosoma 11. El gen afectado codifica una enzima del tipo fosfatidilinositol quinasa tipo 3 implicada en el control del ciclo celular. Es …
Leer MásCÁNCER EPIDERMOIDE DE ESÓFAGO
El cáncer epidermoide de esófago. Tumor maligno en general y especialmente formado por células epiteliales. El cáncer epidermoide de esófago es una enfermedad por la que se forman células malignas (cancerosas) en los tejidos del esófago. El esófago es el tubo hueco, muscular que transporta los alimentos y los líquidos desde la garganta al estómago. La pared del esófago comprende …
Leer MásCÁNCER ESCAMOSO DE LAS VÍAS AERODIGESTIVAS SUPERIORES (CE-VADS)
El cáncer escamoso de las vías aerodigestivas superiores (CE-VADS). Las vías aerodigestivas superiores (CE-VADS), están formadas por la cavidad nasal, la boca, la faringe y la laringe; a ese nivel se conforma una encrucijada entre la vía aérea y la vía digestiva. Durante los primeros años de vida de una persona, las células normales se dividen más rápidamente para permitir …
Leer MásCÁNCER DE YEYUNO
El cáncer de yeyuno. El yeyuno se encuentra entre el duodeno y el íleon. El cambio desde el duodeno hasta el yeyuno se define generalmente como ángulo duodenoyeyunal. En humanos adultos, el intestino delgado es por lo general entre 5,5 y 6 m de largo, de los cuales 2,5 m corresponden al yeyuno. El yeyuno es la segunda porción del …
Leer MásCÁNCER DE PULMÓN NO MICROCÍTICO (CPNM)
El cáncer de pulmón no microcítico (CPNM). Los pulmones son dos órganos con apariencia de esponja que se encuentran en su pecho. El pulmón derecho se divide en tres secciones, denominadas lóbulos. Su pulmón izquierdo tiene dos lóbulos. El pulmón izquierdo es más pequeño debido a que el corazón ocupa más espacio en ese lado del cuerpo. Cuando usted respira, …
Leer MásCÁNCER DE MAMA EN VARONES
El cáncer de mama en varones. para más información completa: Ver cáncer de mama.
Leer MásCÁNCER DE MAMA CONTRA LATERAL
El cáncer de mama contra lateral. Las Mamas (pechos), órganos glandulares característicos de los mamíferos. En la especie humana generalmente hay dos localizados en la pared anterior del tórax. Sin embargo, en algunos casos pueden identificarse mamas supernumerarias, generalmente incompletas (sólo un vestigio de pezón) a lo largo de la línea lateral del cuerpo, hacia el abdomen. Internamente son glándulas …
Leer MásCÁNCER DE HIPOFARINGE
El cáncer de hipofaringe. El cáncer de hipofaringe es una enfermedad por la que se forman células malignas (cancerosas) en los tejidos de la hipofaringe. Durante los primeros años de vida de una persona, las células normales se dividen más rápidamente para permitir el crecimiento. El cuerpo está compuesto por billones de células vivas. Las células normales del cuerpo crecen, …
Leer MásAURA
El aura. Sensación pasajera que precede una enfermedad o paroxismo, especialmente un ataque epiléptico. Puede producirse por vía motora, sensorial, vasomotora, auditiva, olfativa, visual o psíquica. La Trofología avanzada cuenta también con un sistema fabuloso de restauración y regeneración Neurológica como lo es: TRNTA (Terapia de Restauración Neurológica Trofológica Avanzada): Es una estrategia terapéutica que combina métodos de la …
Leer MásASTASIA
La astasia. Incoordinación motora o imposibilidad de permanecer de pie debido a una falta de coordinación motora. Imposibilidad de guardar el equilibrio en posición de pie, aunque no existe ningún déficit ni trastorno de la coordinación. Enfermedad nerviosa que impide al individuo mantenerse en posición vertical. Astasia es una forma de Trastorno disociativo en el cual se convierte en deterioro …
Leer MásANGIOLUPOIDE
El angiolupoide. Lesión cutánea de carácter tuberculoso con forma de placas redondeadas y rojizas que aparece preferentemente en la nariz y las manos. Forma cutánea de sarcoidosis: enfermedad sistémica crónica (a saber), caraterizada histológicamente por una reacción inflamatoria granulomatosa no necrotizante. A saber. Granuloma localizado en la nariz, de color violáceo, con telangiectasias que semejan al lupus. Para todas estas …
Leer MásALGODISFROFIA SIMPÁTICA
La algodistrofia simpática. Neuralgia caraterizada por u conjunto de fenómenos circulatorios y de dolor intenso que se producen en un miembro superior debido a una alteración en el sistema simpático, como el síndrome hombro-mano, la causalgia y el síndrome postraumático. Afección del sistema nervioso central, cerebral, etc, de probable patogenia autoinmune, etc, que se caracteriza por placas de desmielinizacion seguidas …
Leer MásBRADILEXIA
La bradilexia. Lentitud anormal o exagerada en la lectura. Lentitud manifiesta en la lectura debida a desórdenes de naturaleza neurológica o psíquica. Suele tener carácter circunstancial y/o evolutivo, remitiendo con los apoyos terapéuticos pedagógicos necesarios. Y especialmente el uso de la Trofología. La Trofología avanzada cuenta también con un sistema fabuloso de restauración y regeneración Neurológica como lo es: …
Leer MásBALONIZACIÓN
La balonización. Termino para el proceso cutáneo. Hinchazón cutánea de las células malpigianas en que sus núcleos se multiplican y forman verdaderos balones que acaban por estallar. Estructuras más o menos esféricas; se observa en algunas infecciones provocadas por herpes zona, como en la varicela. Información: Para más información sobre esta enfermedad o patología, si usted cree que es necesario, …
Leer MásATEROMA ARTERIAL
El ateroma arterial. Enfermedad ateromatosa (afecto de ateroma (depósito de lípidos en la pared arterial con producción de masas amarillentas de induración y reblandecimiento, que se observa en la aterosclerosis) o de su naturaleza) difusa de las arterias. Resumiendo: Acumulación local de fibras y lípidos, principalmente colesterol, en la pared interna de una arteria. Se forma una placa que estrecha …
Leer MásARTERITIS DE LOS MIEMBROS INFERIORES
La arteritis de los miembros inferiores. Dureza y engrosamiento anormales de las paredes arteriales, resultado de inflamaciones, especialmente de la túnica íntima con tendencia a la obliteración del vaso. Enfermedad de los vasos arteriales de etiología diversa que provocan una obliteración o estrechez que obstruye el orificio de las arterias, disminuyendo el flujo sanguíneo arterial. Esta es una enfermedad que …
Leer MásARTERIOSCLEROSIS DE MÖNCKEBERG
Arteriosclerosis de mönckeberg. Dureza y engrosamiento anormales de las paredes arteriales, resultado de inflamaciones, especialmente de la túnica íntima con tendencia a la obliteración del vaso. Compromete la capa media de las grandes arterias principalmente de los miembros y se caracteriza por fibrosis y calcificación de las mismas sin estenosis significativa ni isquemia pero facilita la formación de aneurismas. Ocurre …
Leer MásASEMIA
La asemia. Imposibilidad o pérdida de utilizar o comprender las palabras y los signos correspondientes a las ideas. Asemia es una condición en la cual una persona no puede entender o hacer uso de símbolos o signos. Esto puede incluir cosas tales como gestos y el lenguaje escrito. La condición es un tipo más grave de afasia, que es la …
Leer Más
Binipatia e higienismo Medicina natural alternativa, plantas medicinales y remedios caseros naturales