viernes , 17 abril 2026

L

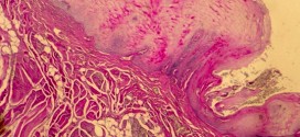
LEUCOPLASIA MALIGNA DE LA MUCOSA ORAL

La leucoplasia maligna de la mucosa oral. La leucoplasia se define como una mancha o placa de color blanco, que aparece en la lengua o en las mucosas de la boca, que no puede ser raspada o desprendida y que no puede ser atribuida clínica o patológicamente a ninguna otra enfermedad. La trascendencia de esta lesión estriba en su relativamente …

Leer Más

LINFOMA MALIGNO DEL BAZO

El linfoma maligno del bazo. Tumor maligno en general y especialmente el formado por células epiteliales, a saber. Los canceres se dividen en dos grandes categorías de carcinoma y sarcoma u otros. La característica básica de la malignidad es una anormalidad de las células, transmitida a las células hijas, que se manifiesta por la reducción  del control del crecimiento y …

Leer Más

LINFOMA GÁSTRICO

El linfoma gástrico. El estómago es un órgano hueco en forma de letra ‘J’ o de gaita que se sitúa en la zona más alta del abdomen y forma parte del aparato digestivo. Recibe el alimento que ingerimos por la boca a través del esófago. Cuando penetra la comida en su interior, los músculos del estómago comienzan a contraerse rítmicamente …

Leer Más

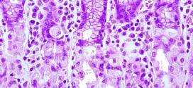
LEUCOPLASIA MALIGNA ORAL VELLOSA

La leucoplasia maligna oral vellosa. En los países desarrollados la leucoplasia parece afectar a individuos entre la cuarta y séptima década de la vida. En países en desarrollo, la aparición de este tipo de lesiones se adelanta entre 5-10 años. La distribución por sexos varía según la diferente distribución del hábito tabáquico, aunque puede unificarse en un 3:1 más frecuentemente …

Leer Más

LIPOFIBROMA

El lipofibroma. Tumor, quiste, etc; normalmente es benigno constituido por una masa circunscrita de tejido adiposo ó constituidos por la proliferación de tejido celular subcutáneo. Es un tumor, quiste, absceso, etc; benigno compuesto de tejido adiposo, tejido fibroso, a veces encapsulado que se manifiestan como masas redondas bien definidas con una pared visible y homogénea. Tiene un crecimiento lento de …

Leer Más

LESIONES CUTÁNEAS PRECANCEROSAS

Las lesiones cutáneas precancerosas. En la consulta de Dermatolología es frecuente que acudan mujeres de edad media que quieren rejuvenecer. Las arrugas superficiales y profundas, las manchas pigmentarias, las lesiones sobre elevadas que suelen denominar “verrugas”, son un inconveniente estético que desean eliminar. Pero con la misma frecuencia ocurre que una lesión extirpada y estudiada al microscopio sorprende con un …

Leer Más

LIPOMA

El lipoma. Tumor, quiste, etc; normalmente es benigno constituido por una masa circunscrita de tejido adiposo ó constituidos por la proliferación de tejido celular subcutáneo. Es un tumor, quiste, absceso, etc; benigno compuesto de tejido adiposo, a veces encapsulado que se manifiestan como masas redondas bien definidas con una pared visible y homogénea. Tiene un crecimiento lento de masa grasa …

Leer Más

LEUCODISTROFIA

La leucodistrofia. Las leucodistrofias destruyen el sistema nervioso central (cerebro y médula espinal) en niños y adultos. Afecta a la mielina, la sustancia blanca que rodea los nervios como una funda aislante. Las leucodistrofias son enfermedades raras que afectan las células del cerebro. Específicamente, las enfermedades afectan la vaina de mielina, el material que rodea y protege las células nerviosas. …

Leer Más

LINFOMA CUTÁNEO

El linfoma cutáneo. La dermis contiene un número considerable de linfocitos (un tipo de células del sistema inmunológico). Cuando éstos se vuelven malignos, forman el linfoma cutáneo. Los linfomas cutáneos son un grupo heterogéneo de enfermedades, que se distinguen por la proliferación clonal de linfocitos en la piel. Estas alteraciones linfoproliferativo cutáneas pueden manifestarse sólo en la piel o afectarla …

Leer Más

LEUCEMIA CUTIS

La leucemia cutis. La Leucemia Cutis (LC) es una enfermedad poco frecuente y se asocia con leucemia mieloide aguda la mayoría de las veces. Puede manifestarse antes o después del diagnóstico de leucemia en sangre o médula ósea. Durante los primeros años de vida de una persona, las células normales se dividen más rápidamente para permitir el crecimiento. El cuerpo …

Leer Más

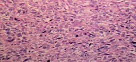
LEIOMIOSARCOMA

El leiomiosarcoma. El leiomiosarcoma es un sarcoma agresivo de partes blandas que se deriva de las células del músculo liso, normalmente de origen uterino, gastrointestinal o de otros tejidos blandos. Es de suma importancia por su agresividad, usar la Trofología, para obtener la mejor garantía de sobrevida y calidad de vida del paciente. Durante los primeros años de vida de …

Leer Más

LINFOMA MALIGNO DEL HUESO

El linfoma maligno del hueso u óseo. Los huesos forman la estructura que sostiene todo su cuerpo. La mayoría de los huesos son huecos. La parte externa de los huesos consiste en una red de tejido fibroso que se conoce como matriz, en la cual se depositan sales de calcio. La capa externa dura está compuesta de hueso compacto (cortical), …

Leer Más

LÉNTIGO (peca)

El lentigo (peca o pecas). Es una mácula o también llamada peca o lentiginosis de color marrón, cuyo origen es el aumento del número de melanocitos en la capa basal sin signos proliferativos. Se trata de una lesión de una frecuencia tal, que no se considera patológica, sólo en aquellos casos con una base genética (a saber) y gran proliferación …

Leer Más

LIQUEN PLANO

El liquen plano (LP). Es una dermatosis pápulo-escamosa caracterizada en su forma típica por la aparición de pápulas pruriginosas de pequeño tamaño y coloración violácea localizadas preferentemente en superficies flexoras durante la edad media de la vida. Las lesiones cutáneas pueden estar acompañadas por lesiones papulosas  de coloración blanquecina en mucosa oral o genital. El curso de la enfermedad suele …

Leer Más

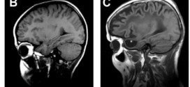
LEUCOENCEFALOPATÍA MULTIFOCAL PROGRESIVA

La leucoencefalopatía multifocal progresiva (LMP). La mayoría de las personas portan el poliomavirus JC (que a menudo se llama virus JC o simplemente VJC), pero este suele ser inocuo excepto para las personas que tienen las defensas bajas. A saber. La leucoencefalopatía multifocal progresiva (LMP) es una enfermedad de etiología viral (virus JC, Papovavirus), que afecta de forma subaguda o …

Leer Más

LIPOMATOSIS

La lipomatosis. Tumor, quiste, etc; normalmente es benigno constituido por una masa circunscrita de tejido adiposo ó constituidos por la proliferación de tejido celular subcutáneo. Es un tumor, quiste, absceso, etc; benigno compuesto de tejido adiposo, a veces encapsulado que se manifiestan como masas redondas bien definidas con una pared visible y homogénea. Tiene un crecimiento lento de masa grasa …

Leer Más

LIPOMATOSIS

La lipomatosis. Tumor, quiste, etc; normalmente es benigno constituido por una masa circunscrita de tejido adiposo ó constituidos por la proliferación de tejido celular subcutáneo. Es un tumor, quiste, absceso, etc; benigno compuesto de tejido adiposo, a veces encapsulado que se manifiestan como masas redondas bien definidas con una pared visible y homogénea. Tiene un crecimiento lento de masa grasa …

Leer Más

LUPUS ERITEMATOSO SISTÉMICO (LES)

El lupus eritematoso sistémico (LES). También con otros nombres parecidos o similares como: lupus, lupus eritematoso discoide, lupus vulgar, lupus crónico discoide, lupus pernio, lupus TBC, lupus neonatal, lupus agudo o sistémico, lupus eritematoso verrugoso, lupus eritematoso hipertrófico, lupus profundo (paniculitis), etc. Resumiendo: Enfermedad desconocida a saber. La cual los tejidos y células pueden ser dañados por el depósito de …

Leer Más

LUPUS ERITEMATOSO (LE)

El lupus eritematoso (LE). Se denomina lupus eritematoso (LE) a una enfermedad  de origen autoinmune (a saber) con manifestaciones cutáneas y viscerales. Actualmente se tiende a clasificar al LE con manifestaciones cutáneas de acuerdo al tipo de lesión dermatológica que presente y en relación a su capacidad de ocasionar daños viscerales: de esta forma se clasifican en: Lupus eritematoso crónico …

Leer Más

LEUCEMIA

La leucemia es una enfermedad neoplásica de los órganos formadores de las células sanguíneas, caracterizada especialmente por la proliferación maligna de leucocitos o de sus precursores en la médula ósea y sangre periférica.    Durante los primeros años de vida de una persona, las células normales se dividen más rápidamente para permitir el crecimiento. El cuerpo está compuesto por billones …

Leer Más