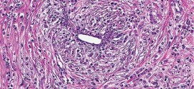
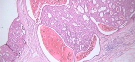
El carcinoma lobular maligno de mama. Las mamas o senos se componen de grasa, tejido conectivo y glandular. En este tejido se encuentran las glándulas productoras de leche de las que nacen unos 15 ó 20 conductos mamarios, para transportar la leche hasta el pezón, rodeado por la areola. Estos lobulillos y conductos se encuentran en el estroma, un tejido …
Leer MásResultados de: cáncer de mama
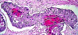
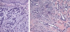
CARCINOMA TUBULAR DE MAMA
El carcinoma tubular de mama. Durante los primeros años de vida de una persona, las células normales se dividen más rápidamente para permitir el crecimiento. El cuerpo está compuesto por billones de células vivas. Las células normales del cuerpo crecen, se dividen formando nuevas células y mueren de manera ordenada. Una vez que se llega a la edad adulta, la …
Leer MásTUMOR MALIGNO DE MAMA
El tumor maligno de mama. Durante los primeros años de vida de una persona, las células normales se dividen más rápidamente para permitir el crecimiento. El cuerpo está compuesto por billones de células vivas. Las células normales del cuerpo crecen, se dividen formando nuevas células y mueren de manera ordenada. Una vez que se llega a la edad adulta, la …
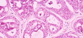
Leer MásCARCINOMA LOBULAR INVASIVO DE MAMA
El carcinoma lobular invasivo de mama. Los senos de una mujer están formados por glándulas mamarias (lobulillos) que producen leche, conductos (pequeños tubos que llevan la leche de los lobulillos al pezón), tejido adiposo y conectivo, vasos sanguíneos y vasos linfáticos. La mama está dividida en unas 20 partes (lóbulos), que a su vez se dividen en partes más pequeñas …
Leer MásCARCINOMA MAMARIO
El carcinoma mamario. Durante los primeros años de vida de una persona, las células normales se dividen más rápidamente para permitir el crecimiento. El cuerpo está compuesto por billones de células vivas. Las células normales del cuerpo crecen, se dividen formando nuevas células y mueren de manera ordenada. Una vez que se llega a la edad adulta, la mayoría de …
Leer MásCARCINOMA INVASIVO DE MAMA
El carcinoma de mama. Durante los primeros años de vida de una persona, las células normales se dividen más rápidamente para permitir el crecimiento. El cuerpo está compuesto por billones de células vivas. Las células normales del cuerpo crecen, se dividen formando nuevas células y mueren de manera ordenada. Una vez que se llega a la edad adulta, la mayoría …
Leer MásCARCINOMA INFLAMATORIO DE MAMA
El carcinoma inflamatorio de mama. Durante los primeros años de vida de una persona, las células normales se dividen más rápidamente para permitir el crecimiento. El cuerpo está compuesto por billones de células vivas. Las células normales del cuerpo crecen, se dividen formando nuevas células y mueren de manera ordenada. Una vez que se llega a la edad adulta, la …
Leer MásCÁNCER OVARICO-VULVAR
El cáncer ovárico-vulvar (MECOV). Los ovarios tienen un recubrimiento formado por células epiteliales. Con la transformación maligna de estas células surge el cáncer de ovario. Durante los primeros años de vida de una persona, las células normales se dividen más rápidamente para permitir el crecimiento. El cuerpo está compuesto por billones de células vivas. Las células normales del cuerpo crecen, se …
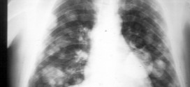
Leer MásTUMOR DE PULMÓN METASTÁSICO
El tumor de pulmón metastásico. Los pulmones son un par de órganos que dan oxígeno al cuerpo y expulsan el dióxido de carbono, un producto de desecho producido por las células del cuerpo. Los bronquios, por su parte, son unos tubos a través de los cuales llega el aire inspirado desde la boca a los pulmones; se dividen en otros …
Leer MásTUMOR MALIGNO FILOIDE DE MAMA
El tumor maligno filoide de mama. Durante los primeros años de vida de una persona, las células normales se dividen más rápidamente para permitir el crecimiento. El cuerpo está compuesto por billones de células vivas. Las células normales del cuerpo crecen, se dividen formando nuevas células y mueren de manera ordenada. Una vez que se llega a la edad adulta, …
Leer MásCÁNCER METASTÁSICO PULMONAR
El cáncer metastásico pulmonar. Los pulmones son dos órganos situados en el tórax y a través de ellos se realiza la respiración. Están separados por una zona denominada mediastino, espacio donde se encuentran el corazón, la tráquea, el esófago y vasos sanguíneos. El aire llega a los pulmones a través de la tráquea que se divide en dos bronquios principales, …
Leer MásCARCINOMA EN CORAZA
El carcinoma en coraza. Tumor maligno ó manchas malignas en general y especialmente el formado por células epiteliales o pigmentarias. Este tipo de carcinoma puede ser doloroso, aunque por lo general es asintomático (la persona puede no darse casi cuenta en dolor). Esta variante clínica es la alteración cutánea tipo cuero del cáncer de mama esclerosante metastásico, conocido como carcinoma …
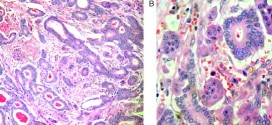
Leer MásCARCINOMA DUCTAL “IN SITU”
El carcinoma ductal “in situ”. Durante los primeros años de vida de una persona, las células normales se dividen más rápidamente para permitir el crecimiento. El cuerpo está compuesto por billones de células vivas. Las células normales del cuerpo crecen, se dividen formando nuevas células y mueren de manera ordenada. Una vez que se llega a la edad adulta, la …
Leer MásCÁNCER DE LOS PEZONES
El cáncer de los pezones. Es un tipo de cáncer poco común que afecta la piel del pezón y, por lo general, el círculo más oscuro de piel de su derredor el cual se llama areola. La mayoría de las personas con cáncer de los pezones de seno tienen también uno o dos tumores en el interior del mismo seno. …
Leer MásANGIOSARCOMA DE MAMA
El angiosarcoma de mama. Maligno en general y especialmente los formados por células epiteliares. Durante los primeros años de vida de una persona, las células normales se dividen más rápidamente para permitir el crecimiento. El cuerpo está compuesto por billones de células vivas. Las células normales del cuerpo crecen, se dividen formando nuevas células y mueren de manera ordenada. Una …
Leer MásCÁNCER DE MAMA EN VARONES
El cáncer de mama en varones. para más información completa: Ver cáncer de mama.
Leer MásCÁNCER DE MAMA CONTRA LATERAL
El cáncer de mama contra lateral. Las Mamas (pechos), órganos glandulares característicos de los mamíferos. En la especie humana generalmente hay dos localizados en la pared anterior del tórax. Sin embargo, en algunos casos pueden identificarse mamas supernumerarias, generalmente incompletas (sólo un vestigio de pezón) a lo largo de la línea lateral del cuerpo, hacia el abdomen. Internamente son glándulas …
Leer MásCÁNCER METASTÁSICO DEL HÍGADO
El cáncer metastásico del hígado. El hígado es el segundo órgano más grande del cuerpo humano después de la piel, y es el mayor órgano interno. El hígado, localizado bajo el diafragma y las costillas, se extiende a través del lado izquierdo del cuerpo por encima del borde superior del estómago. Cada uno de los dos lóbulos principales contiene unidades …
Leer MásCANCER METASTASICO DE PULMON
El cáncer metastásico de pulmón. Durante los primeros años de vida de una persona, las células normales se dividen más rápidamente para permitir el crecimiento. El cuerpo está compuesto por billones de células vivas. Las células normales del cuerpo crecen, se dividen formando nuevas células y mueren de manera ordenada. Una vez que se llega a la edad adulta, la …
Leer MásEL NEGOCIO DE LA ALIMENTACIÓN
Muchos de nosotros, creemos que toda la información que nos brindan los medios de comunicación es verdadera, y nos dejamos influenciar por esa necesidad de consumo impuesto; pero esto, aplicado a la alimentación resulta bastante peligroso, sobre todo cuando no nos dicen la verdad, por cuanto ello va a deteriorar nuestra salud, y cuando esto ocurra, pasaremos a otro negociado …
Leer Más
Binipatia e higienismo Medicina natural alternativa, plantas medicinales y remedios caseros naturales