viernes , 17 abril 2026

A

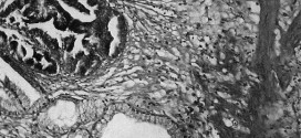
ADENOCARCINOMA RENAL

El adenocarcinoma renal. Tumor maligno en general y especialmente el formado por células epiteliales, se presenta en el parénquima del riñón, es la forma más usual de cáncer y se origina en la proliferación de células epiteliales de los túbulos renales. Durante los primeros años de vida de una persona, las células normales se dividen más rápidamente para permitir el …

Leer Más

ADENOCARCINOMA PULMONAR

Los pulmones son dos órganos con apariencia de esponja que se encuentran en su pecho. El pulmón derecho se divide en tres secciones, denominadas lóbulos. Su pulmón izquierdo tiene dos lóbulos. El pulmón izquierdo es más pequeño debido a que el corazón ocupa más espacio en ese lado del cuerpo. Cuando usted respira, el aire entra a su boca o …

Leer Más

ADENOCARCINOMA PRIMARIO VESICAL

El adenocarcinoma primario vesical. Durante los primeros años de vida de una persona, las células normales se dividen más rápidamente para permitir el crecimiento. El cuerpo está compuesto por billones de células vivas. Las células normales del cuerpo crecen, se dividen formando nuevas células y mueren de manera ordenada. Una vez que se llega a la edad adulta, la mayoría …

Leer Más

ADENOCARCINOMA PAPILAR DE LA VESÍCULA BILIAR

El adenocarcinoma papilar de la vesícula biliar. Es una enfermedad por la cual se forman células malignas cancerosas en los tejidos de la vesícula biliar es una enfermedad poco frecuente por la que se encuentran células cancerosas en los tejidos de la vesícula biliar. Tumor maligno en general y especialmente el formado por células epiteliales, a saber. Durante los primeros …

Leer Más

ADENOCARCINOMA PANCREÁTICO

El adenocarcinoma pancreático. Tumor maligno en general y especialmente el formado por células epiteliales, a saber. Durante los primeros años de vida de una persona, las células normales se dividen más rápidamente para permitir el crecimiento. El cuerpo está compuesto por billones de células vivas. Las células normales del cuerpo crecen, se dividen formando nuevas células y mueren de manera …

Leer Más

ADENOCARCINOMA HEPÁTICO

El adenocarcinoma hepático. Tumor maligno en general y especialmente el formado por células epiteliales, a saber. Durante los primeros años de vida de una persona, las células normales se dividen más rápidamente para permitir el crecimiento. El cuerpo está compuesto por billones de células vivas. Las células normales del cuerpo crecen, se dividen formando nuevas células y mueren de manera …

Leer Más

ADENOCARCINOMA GÁSTRICO

El adenocarcinoma gástrico. Tumor maligno en general y especialmente el formado por células epiteliales. Durante los primeros años de vida de una persona, las células normales se dividen más rápidamente para permitir el crecimiento. El cuerpo está compuesto por billones de células vivas. Las células normales del cuerpo crecen, se dividen formando nuevas células y mueren de manera ordenada. Una …

Leer Más

ADENOCARCINOMA ENDOMETRIOIDE

El adenocarcinoma endometrioide. Durante los primeros años de vida de una persona, las células normales se dividen más rápidamente para permitir el crecimiento. El cuerpo está compuesto por billones de células vivas. Las células normales del cuerpo crecen, se dividen formando nuevas células y mueren de manera ordenada. Una vez que se llega a la edad adulta, la mayoría de …

Leer Más

ADENOCARCINOMA DEL PALADAR

El adenocarcinoma del paladar. Durante los primeros años de vida de una persona, las células normales se dividen más rápidamente para permitir el crecimiento. El cuerpo está compuesto por billones de células vivas. Las células normales del cuerpo crecen, se dividen formando nuevas células y mueren de manera ordenada. Una vez que se llega a la edad adulta, la mayoría …

Leer Más

ADENOCARCINOMA DEL HÍGADO

El adenocarcinoma del hígado. Durante los primeros años de vida de una persona, las células normales se dividen más rápidamente para permitir el crecimiento. El cuerpo está compuesto por billones de células vivas. Las células normales del cuerpo crecen, se dividen formando nuevas células y mueren de manera ordenada. Una vez que se llega a la edad adulta, la mayoría …

Leer Más

ADENOCARCINOMA DEL DUODENO

El adenocarcinoma del duodeno. Durante los primeros años de vida de una persona, las células normales se dividen más rápidamente para permitir el crecimiento. El cuerpo está compuesto por billones de células vivas. Las células normales del cuerpo crecen, se dividen formando nuevas células y mueren de manera ordenada. Una vez que se llega a la edad adulta, la mayoría …

Leer Más

ADENOCARCINOMA DE YEYUNO PROXIMAL

El adenocarcinoma de yeyuno proximal. Tumor maligno en general y especialmente el formado por células epiteliales. Durante los primeros años de vida de una persona, las células normales se dividen más rápidamente para permitir el crecimiento. El cuerpo está compuesto por billones de células vivas. Las células normales del cuerpo crecen, se dividen formando nuevas células y mueren de manera …

Leer Más

ADENOCARCINOMA DE VEJIGA

El adenocarcinoma de vejiga. Durante los primeros años de vida de una persona, las células normales se dividen más rápidamente para permitir el crecimiento. El cuerpo está compuesto por billones de células vivas. Las células normales del cuerpo crecen, se dividen formando nuevas células y mueren de manera ordenada. Una vez que se llega a la edad adulta, la mayoría …

Leer Más

ADENOCARCINOMA DE RIÑON

El adenocarcinoma de riñon. Durante los primeros años de vida de una persona, las células normales se dividen más rápidamente para permitir el crecimiento. El cuerpo está compuesto por billones de células vivas. Las células normales del cuerpo crecen, se dividen formando nuevas células y mueren de manera ordenada. Una vez que se llega a la edad adulta, la mayoría …

Leer Más

ADENOCARCINOMA DE PARÓTIDA

El adenocarcinoma de parótida. Durante los primeros años de vida de una persona, las células normales se dividen más rápidamente para permitir el crecimiento. El cuerpo está compuesto por billones de células vivas. Las células normales del cuerpo crecen, se dividen formando nuevas células y mueren de manera ordenada. Una vez que se llega a la edad adulta, la mayoría …

Leer Más

ADENOCARCINOMA DE MATRIZ

El adenocarcinoma de matriz. Los virus del papiloma humano (VPH) de los tipos 16 y 18 son los principales tipos que se asocian al cáncer ginecológico y genital. A saber, sin olvidar a los demás. Durante los primeros años de vida de una persona, las células normales se dividen más rápidamente para permitir el crecimiento. El cuerpo está compuesto por …

Leer Más

ADENOCARCINOMA DE MAMA DUCTAL SUBYACENTE

El adenocarcinoma de mama ductal subyacente. Durante los primeros años de vida de una persona, las células normales se dividen más rápidamente para permitir el crecimiento. El cuerpo está compuesto por billones de células vivas. Las células normales del cuerpo crecen, se dividen formando nuevas células y mueren de manera ordenada. Una vez que se llega a la edad adulta, …

Leer Más

ADENOCARCINOMA DE LAS VÍAS BILIARES

El adenocarcinoma de las vías biliares. El sistema para drenar la bilis, incluye los conductos o vías extrahepático, conductos biliares intra y la vesícula biliar. Son como una red de cañerías, llamados conductos que están conectados con la vesícula biliar, el intestino delgado y el hígado. Es una enfermedad por la cual se forman células malignas cancerosas en los tejidos …

Leer Más

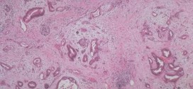
ADENOCARCINOMA DE LA VESÍCULA BILIAR

El adenocarcinoma de la vesícula biliar. Es una enfermedad por la cual se forman células malignas cancerosas en los tejidos de la vesícula biliar es una enfermedad poco frecuente por la que se encuentran células cancerosas en los tejidos de la vesícula biliar. La vesícula se localiza en la fosa vesicular, en la cara inferior del hígado. Por lo general …

Leer Más

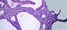
ADENOCARCINOMA DE GLÁNDULAS SALIVARES MENORES

El adenocarcinoma de glándulas salivares menores. Durante los primeros años de vida de una persona, las células normales se dividen más rápidamente para permitir el crecimiento. El cuerpo está compuesto por billones de células vivas. Las células normales del cuerpo crecen, se dividen formando nuevas células y mueren de manera ordenada. Una vez que se llega a la edad adulta, …

Leer Más