domingo , 31 mayo 2026
Inicio » Binipatia (Página 70)

Binipatia

CÁNCER GINECOLÓGICO

El cáncer ginecológico. Los virus del papiloma humano (VPH) de los tipos 16 y 18 son los principales tipos que se asocian al cáncer ginecológico y genital. A saber, sin olvidar a los demás. Los cánceres ginecológicos son cualquier tipo de cáncer que se origina en los órganos reproductores de las mujeres. Algunos cánceres ginecológicos son causados por el virus …

Leer Más

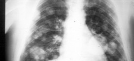
CÁNCER DE PULMÓN

Cáncer de pulmón. Otros tipos u nombres: neoplasia pulmonar,  neoplasias pleurales primarias, tumores hiliares, tumores en lóbulo medio o lóbulo inferior derecho, neoplasia microcítico pulmonar, neoplasia pulmonar central, neoplasias torácicas, etc. Los pulmones son un par de órganos que dan oxígeno al cuerpo y expulsan el dióxido de carbono, un producto de desecho producido por las células del cuerpo. Los …

Leer Más

CÁNCER DE LOS HUESOS

El cáncer de los huesos. Tumor de células plasmáticas, localizado fuera de la médula ósea, caracterizado por la presencia de lesiones óseas diseminadas, paraproteína (inmunoglobulina producida por un clon de células plasmocitarias de proliferación patológica) en la sangre y orina, anemia, trombocitopenia (disminución del número de plaquetas en la sangre (trombopenia) y leucopenia (reducción del número de leucocitos (glóbulos blancos …

Leer Más

CÁNCER DE COLÓN Y RECTO

El cáncer de colón y recto, también tiene otros nombres o relacionados como: cáncer colorrectal, cáncer de intestino, carcinoma de colon, metaplasia intestinal, cáncer hereditario de colon, adenocarcinoma colorrectal, carcinoma hereditario de colon no asociado a poliposis, cáncer de colon esporádicos, tumores de ciego, tumores de colon ascendente, tumor del recto distal, tumores carcinoides de apéndice, tumores carcinoides extraintestinales, síndrome …

Leer Más

RETICULOSARCOMA

El reticulosarcoma. Tumor linfoide maligno con estructura bastante variada. Las células tumorales pueden ser redondeadas y algo pleomórficas y pueden presentar contornos citoplásmicos bien definidos; algunos de sus núcleos presentan escotaduras o formas de herradura y tienen nucléolos grandes. E n algunos de los casos se pueden observa numerosas fibras de reticulina que pueden estar  distribuidas uniformemente entre las células …

Leer Más

QUISTES

Los quistes. Tumor, quiste, etc; normalmente es benigno constituido por una masa circunscrita de tejido adiposo ó constituidos por la proliferación de tejido celular subcutáneo. Es un tumor, quiste, absceso, etc; benigno compuesto de tejido adiposo, a veces encapsulado que se manifiestan como masas redondas bien definidas con una pared visible y homogénea. Tiene un crecimiento lento de masa grasa …

Leer Más

PSORIASIS

La psoriasis. Es una enfermedad muy común que afecta entre el 1y 2% de la población mundial. Se caracteriza por la aparición de pápulas eritemato-escamosas y placas recubiertas por gruesas escamas nacaradas. Resumiendo: En el 10% de los casos el psoriasis se asocia a artritis (otra que no ha respetado a la madre naturaleza). El comienzo puede ocurrir a cualquier …

Leer Más

PARÁLISIS DE BELL

La parálisis de Bell. Parálisis facial periférica o del nervio facial periférico que provoca la pérdida de movimiento de todos los músculos faciales; en consecuencia desaparecen las arrugas de la frente, el ojo no se cierra, cae la comisura de la boca, las lágrimas y la saliva. Para todas estas patologías la madre naturaleza nos regala sus dones más preciados …

Leer Más

PAPILOMA INVERTIDO MALIGNO

El papiloma invertido maligno. Tumor, linfomas, neoplasia-s o muy similar pueden ser atrófico (el escirroso rodeado de tejido  escleroso y atrófico), dermoide (el que contiene tapones de epitelio con masas coloideas), escirroso (el duro, fibroide y muy maligno, a saber), etc. Maligno en general y especialmente  los formados por células epiteliares.los cánceres se dividen en 2-4 grandes categorías de carcinoma, …

Leer Más

OBESIDAD

La obesidad. También se suele llamar sobre peso y popularmente gordo, aunque esta última no suele gusta mucho y se comprende. Acumulación excesiva de grasa en el cuerpo; hipertrofia general del tejido adiposo, adiposidad (acumulación excesiva, general o local, de grasa), lipomatosis (proporción excesiva de grasa en los tejidos). Puede ser de origen alimentaria (exógena), endocrina (la debía a disfunción …

Leer Más

ENFERMEDAD DE CHARCOT-MARIE-TOOTH

La enfermedad de charcot-marie-tooth. Enfermedad hereditaria de transmisión autosómica dominante debida a una degeneración de los cordones posteriores y de las células de las astas anteriores de la médula espinal; se caracteriza por una atrofia de los músculos de la pierna, los peroneos. En etapas, la atrofia se extiende a los músculos de las manos y brazos. El pronóstico es …

Leer Más

ESCLEROSIS EN PLACAS

La esclerosis en placas. La esclerosis múltiple (EM) es una enfermedad que afecta a la mielina o materia blanca del cerebro y de la médula espinal, provocando la aparición de placas escleróticas que impiden el funcionamiento normal de esas fibras nerviosas. La mielina es una sustancia grasa que rodea y aísla los nervios, actuando como la cobertura de un cable …

Leer Más

ESQUIZOFRENIA

La esquizofrenia. Enfermedad mental del tipo de las psicosis y otras relacionadas o llamadas: catatonia, delirios, alucinaciones, accesos de violencia, paranoia, psicosis, esquizofrenia paranoide, esquizofrenia con depresión postpsicótica, esquizofrenia residual, esquizofrenia simple, esquizofrenia hebefrénica, esquizofrenia catatónica, esquizofrenia indiferenciada, etc. Sin alteración anatómica conocida, en cuya etiología destacan psicógenos, socioculturales y factores genéticos, a saber. Se caracteriza por disociación psíquica, despersonalización, …

Leer Más

FOTOSENSIBILIZACIÓN

La fotosensibilización. Sensibilización cutánea a la luz en personas que padecen carencias vitamínicas (pelagra), trastornos metabólicos, porfirias (aparición de ampollas en las zonas cutáneas expuestas) o ante la aplicación tópica de ciertos medicamentos. Puede provocar eritemas, ampollas y costras. Pues bien una vez diagnosticado cual es la enfermedad o nombre de dicha patología, lo primero que debería de hacer es …

Leer Más

HIPERTENSION ARTERIAL

La hipertensión arterial. Aumento del tono tensión en general; especialmente aumento de la presión vascular o sanguínea. De ello se derivan algunas cifras medias hipertensión en el hombre: de 40 años: 14/8; de 50 años: 15/8,5; de 60 años: 16/9; de 70 años: 17/9,5; de 75 años: 17,5/9,75; de 80 años: 18/10. En la mujer: de 40 años: 13/7,5; de …

Leer Más

LEUCOENCEFALOPATÍA MULTIFOCAL PROGRESIVA

La leucoencefalopatía multifocal progresiva (LMP). La mayoría de las personas portan el poliomavirus JC (que a menudo se llama virus JC o simplemente VJC), pero este suele ser inocuo excepto para las personas que tienen las defensas bajas. A saber. La leucoencefalopatía multifocal progresiva (LMP) es una enfermedad de etiología viral (virus JC, Papovavirus), que afecta de forma subaguda o …

Leer Más

El insecticida botánico

LA HISTORIA DE Oiko Neem El insecticida botánico. . . del Arbol Noble de la India esta es la historia de Oiko Neem, un insecticida a base de los compuestos botánicos producidos por el árbol Neem, o Nim (Azadirachta indica). En realidad, no es un insecticida en el sentido tradicional de la palabra, puesto que sus métodos de eliminar las …

Leer Más

HONGOS

MILDIU STOP Superfosfito potásico sistémico diseñado para absorber la humedad del hongo, pudiéndose aplicar de manera preventiva y curativa. Sin plazo de seguridad. Aplicaciones y dosis “AGRARES MILDIU STOP” se ha desarrollado para cumplir con los siguientes objetivos fundamentales: Como aporte de fósforo para favorecer el desarrollo y la actividad radicular, así como para agilizar la forma-ción de los tubos …

Leer Más

ANTIPARASITARIOS EXTERNOS NATURALES

No hay antiparasitarios externos naturales para el ganado o las mascotas que muestren una eficacia tan contundente como la mayoría de los productos sintéticos. No obstante, contra algunos parásitos pueden ser muy útiles, en alternancia o combinación con los productos sintéticos, o cuando las poblaciones de parásitos no son extremadamente elevadas. Los productos antiparasitarios naturales que merecen mención por su …

Leer Más

MELANOBLASTOMA

El melanoblastoma. Tumor de células productoras de melanina escasamente diferenciadas. Durante los primeros años de vida de una persona, las células normales se dividen más rápidamente para permitir el crecimiento. El cuerpo está compuesto por billones de células vivas. Las células normales del cuerpo crecen, se dividen formando nuevas células y mueren de manera ordenada. Una vez que se llega …

Leer Más