miércoles , 15 abril 2026
Inicio » Binipatia » Enfermedades (Página 33)

Enfermedades

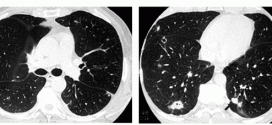
TUMOR DE PULMÓN METASTÁSICO

El tumor de pulmón metastásico. Los pulmones son un par de órganos que dan oxígeno al cuerpo y expulsan el dióxido de carbono, un producto de desecho producido por las células del cuerpo. Los bronquios, por su parte, son unos tubos a través de los cuales llega el aire inspirado desde la boca a los pulmones; se dividen en otros …

Leer Más

TUMOR EXOCRINO DE PÁNCREAS

El tumor exocrino de páncreas. El páncreas es un órgano que se encuentra detrás del estómago. Su forma se parece un poco a la de un pez, con cabeza ancha, cuerpo que va de ancho a delgado y una cola estrecha puntiaguda. Mide aproximadamente seis pulgadas de longitud y menos de 2 pulgadas de ancho. Se extiende horizontalmente de un lado …

Leer Más

TUMOR HEPÁTICO

El tumor hepático. El hígado se encuentra en la parte superior derecha de la cavidad abdominal, debajo del diafragma y por encima del estómago, el riñón derecho y los intestinos. Este órgano con forma de cono es de color marrón rojizo y pesa aproximadamente tres libras (1,36 kg). El hígado está formado por dos lóbulos principales, ambos compuestos por miles …

Leer Más

TUMOR MALIGNO EXTRAPANCREÁTICO

El tumor maligno extrapancreático. Durante los primeros años de vida de una persona, las células normales se dividen más rápidamente para permitir el crecimiento. El cuerpo está compuesto por billones de células vivas. Las células normales del cuerpo crecen, se dividen formando nuevas células y mueren de manera ordenada. Una vez que se llega a la edad adulta, la mayoría …

Leer Más

TUMOR MALIGNO FILOIDE DE MAMA

El tumor maligno filoide de mama. Durante los primeros años de vida de una persona, las células normales se dividen más rápidamente para permitir el crecimiento. El cuerpo está compuesto por billones de células vivas. Las células normales del cuerpo crecen, se dividen formando nuevas células y mueren de manera ordenada. Una vez que se llega a la edad adulta, …

Leer Más

TUMOR MALIGNO PRIMARIO DEL HÍGADO

El tumor maligno primario del hígado. Durante los primeros años de vida de una persona, las células normales se dividen más rápidamente para permitir el crecimiento. El cuerpo está compuesto por billones de células vivas. Las células normales del cuerpo crecen, se dividen formando nuevas células y mueren de manera ordenada. Una vez que se llega a la edad adulta, …

Leer Más

TUMORES MALIGNOS DE LA LARINGE

La laringe se encuentra en la parte frontal del cuello a la altura de la «manzana de Adán», la cual a menudo es mucho más fácil de ver en los hombres que en las mujeres. Se trata de una vía respiratoria que se extiende desde la lengua hasta la tráquea y produce los sonidos que usted hace cuando habla. También …

Leer Más

TUMORES MALIGNOS DE LAS CÉLULAS DE LOS ISLOTES PANCREÁTICOS

Los tumores malignos de las células de los islotes pancreáticos. El páncreas es una glándula de aproximadamente seis pulgadas con forma de una pera pequeña que descansa sobre su costado. El extremo más grande del páncreas se llama la cabeza, la sección media se llama el cuerpo y el final angosto se llama la cola. El páncreas descansa detrás del estómago y delante de la columna vertebral. …

Leer Más

TUMORES MALIGNOS HEPÁTICOS PRIMARIOS

Los tumores malignos hepáticos primarios. Durante los primeros años de vida de una persona, las células normales se dividen más rápidamente para permitir el crecimiento. El cuerpo está compuesto por billones de células vivas. Las células normales del cuerpo crecen, se dividen formando nuevas células y mueren de manera ordenada. Una vez que se llega a la edad adulta, la …

Leer Más

TUMORES HEPÁTICOS METASTÁSICOS

Los tumores hepáticos metastásicos. Durante los primeros años de vida de una persona, las células normales se dividen más rápidamente para permitir el crecimiento. El cuerpo está compuesto por billones de células vivas. Las células normales del cuerpo crecen, se dividen formando nuevas células y mueren de manera ordenada. Una vez que se llega a la edad adulta, la mayoría …

Leer Más

TUMORES SÓLIDOS DE RIÑON

Los tumores sólidos de Riñon. Durante los primeros años de vida de una persona, las células normales se dividen más rápidamente para permitir el crecimiento. El cuerpo está compuesto por billones de células vivas. Las células normales del cuerpo crecen, se dividen formando nuevas células y mueren de manera ordenada. Una vez que se llega a la edad adulta, la …

Leer Más

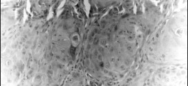
CARCINOSARCOMA DE PRÓSTATA

El carcinosarcoma de próstata. Publicado en: binipatia.com Escrito por: Salvador Gregori Escrivá y IJosh Bush Etiquetas: sustancias súper nutritivas, promover la salud verdadera, arsenal terapéutico alternativo Se trata del tumor maligno más frecuente en los seres humanos. En varones. Durante los primeros años de vida de una persona, las células normales se dividen más rápidamente para permitir el crecimiento. El cuerpo está …

Leer Más

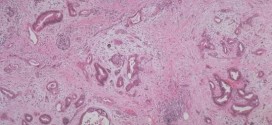
CARCINOMA RENAL

El carcinoma renal. Tumor maligno en general y especialmente el formado por células epiteliales, se presenta en el parénquima del riñón, es la forma más usual de cáncer y se origina en la proliferación de células epiteliales de los túbulos renales. Es más común en hombres que en las mujeres y no es común que afecte a menores de 35 …

Leer Más

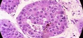
CARCINOMA PANCREÁTICO

El carcinoma pancreático. Tumor maligno en general y especialmente el formado por células epiteliales, a saber. Los canceres se dividen en dos grandes categorías de carcinoma y sarcoma u otros. La característica básica de la malignidad es una anormalidad de las células, transmitida a las células hijas, que se manifiesta por la reducción  del control del crecimiento y la función …

Leer Más

CARCINOMA MUCOEPIDERMOIDE PULMONAR

El carcinoma mucoepidermoide pulmonar. Tumor maligno en general y especialmente el formado por células epiteliales. Durante los primeros años de vida de una persona, las células normales se dividen más rápidamente para permitir el crecimiento. El cuerpo está compuesto por billones de células vivas. Las células normales del cuerpo crecen, se dividen formando nuevas células y mueren de manera ordenada. …

Leer Más

CARCINOMA MUCOEPIDERMOIDE DE PULMÓN

El carcinoma mucoepidermoide de pulmón. Tumor maligno en general y especialmente el formado por células epiteliales. Los canceres se dividen en dos grandes categorías de carcinoma y sarcoma. Durante los primeros años de vida de una persona, las células normales se dividen más rápidamente para permitir el crecimiento. El cuerpo está compuesto por billones de células vivas. Las células normales …

Leer Más

CARCINOMA HEPATOCELULAR

El carcinoma hepatocelular (CH). Tumor maligno en general y especialmente el formado por células epiteliales, a saber. Durante los primeros años de vida de una persona, las células normales se dividen más rápidamente para permitir el crecimiento. El cuerpo está compuesto por billones de células vivas. Las células normales del cuerpo crecen, se dividen formando nuevas células y mueren de …

Leer Más

CARCINOMA HEPATOCELULAR FIBROLAMELAR

El carcinoma hepatocelular fibrolamelar. Tumor maligno en general y especialmente el formado por células epiteliales, a saber. Durante los primeros años de vida de una persona, las células normales se dividen más rápidamente para permitir el crecimiento. El cuerpo está compuesto por billones de células vivas. Las células normales del cuerpo crecen, se dividen formando nuevas células y mueren de …

Leer Más

CARCINOMA HEPÁTICO

El carcinoma hepático. Tumor maligno en general y especialmente el formado por células epiteliales, a saber. El hígado es el órgano interno más grande. Se encuentra debajo de las costillas de su lado derecho justo bajo el pulmón derecho. El hígado tiene forma de pirámide y se divide en dos lóbulos: el derecho y el izquierdo. Los lobulos se subdividen …

Leer Más

CARCINOMA ESCAMOSO DE PÁNCREAS

El carcinoma escamoso de páncreas. El páncreas es un órgano que se encuentra detrás del estómago. Su forma se parece un poco a la de un pez, con cabeza ancha, cuerpo que va de ancho a delgado y una cola estrecha puntiaguda. Mide aproximadamente seis pulgadas de longitud y menos de 2 pulgadas de ancho. Se extiende horizontalmente de un …

Leer Más