miércoles , 15 abril 2026
Inicio » Binipatia » Enfermedades (Página 31)

Enfermedades

CARCINOMA INVASOR DE CUELLO UTERINO

El carcinoma invasor de cuello uterino. Durante los primeros años de vida de una persona, las células normales se dividen más rápidamente para permitir el crecimiento. El cuerpo está compuesto por billones de células vivas. Las células normales del cuerpo crecen, se dividen formando nuevas células y mueren de manera ordenada. Una vez que se llega a la edad adulta, …

Leer Más

CARCINOMA INVASOR DE LA MATRIZ

El carcinoma invasor de la matriz. Los virus del papiloma humano (VPH) de los tipos 16 y 18 son los principales tipos que se asocian al cáncer ginecológico y genital. A saber, sin olvidar a los demás. Tumor maligno casi siempre y especialmente el formado por células epiteliales. Durante los primeros años de vida de una persona, las células normales …

Leer Más

CARCINOMA INVASOR DE OVARIO

El carcinoma invasor de ovario. Los virus del papiloma humano (VPH) de los tipos 16 y 18 son los principales tipos que se asocian al cáncer ginecológico y genital. A saber, sin olvidar los demas. Tumor maligno casi siempre y especialmente el formado por células epiteliales. La incidencia anual del cáncer de ovario en países desarrollados se estima en 17-19 casos por …

Leer Más

CARCINOMA INVASOR GINECOLÓGICO

El carcinoma invasor ginecológico. Por orden de frecuencia, los cánceres genitales son los siguientes: mama, endometrio, cérvix, ovario, vulva y vagina. Cada uno tiene sus peculiaridades epidemiológicas y diagnósticas. Todos los factores que exponemos a continuación deben tenerse en cuenta pero por supuesto no son determinantes. Como en todos los cánceres en general existen factores genéticos hereditarios que se manifiestan …

Leer Más

CARCINOMA INVASOR DE CERVIX

El carcinoma invasor de cérvix. El cérvix, o cuello uterino, es parte del sistema reproductor de la mujer. Está ubicado en la pelvis. El cérvix es la parte inferior, estrecha, del útero (matriz). El cérvix es un canal: El cérvix conecta el útero con la vagina. Durante el período menstrual, la sangre corre desde el útero por el cérvix hacia la vagina. La vagina conduce al exterior …

Leer Más

CARCINOMA INVASIVO DE MAMA

El carcinoma de mama. Durante los primeros años de vida de una persona, las células normales se dividen más rápidamente para permitir el crecimiento. El cuerpo está compuesto por billones de células vivas. Las células normales del cuerpo crecen, se dividen formando nuevas células y mueren de manera ordenada. Una vez que se llega a la edad adulta, la mayoría …

Leer Más

CARCINOMA INFLAMATORIO DE MAMA

El carcinoma inflamatorio de mama. Durante los primeros años de vida de una persona, las células normales se dividen más rápidamente para permitir el crecimiento. El cuerpo está compuesto por billones de células vivas. Las células normales del cuerpo crecen, se dividen formando nuevas células y mueren de manera ordenada. Una vez que se llega a la edad adulta, la …

Leer Más

CARCINOMA EPITELIAL DE OVARIO

El carcinoma epitelial de ovario. Durante los primeros años de vida de una persona, las células normales se dividen más rápidamente para permitir el crecimiento. El cuerpo está compuesto por billones de células vivas. Las células normales del cuerpo crecen, se dividen formando nuevas células y mueren de manera ordenada. Una vez que se llega a la edad adulta, la …

Leer Más

CARCINOMA ADENOIDE QUÍSTICO DE GLÁNDULA SUBLINGUAL

El carcinoma adenoide quístico de glándula sublingual. Durante los primeros años de vida de una persona, las células normales se dividen más rápidamente para permitir el crecimiento. El cuerpo está compuesto por billones de células vivas. Las células normales del cuerpo crecen, se dividen formando nuevas células y mueren de manera ordenada. Una vez que se llega a la edad …

Leer Más

CARCINOMA ADENOIDE QUÍSTICO DE LAS GLÁNDULAS SALIVARES

El carcinoma adenoide quístico de las glándulas salivares. Durante los primeros años de vida de una persona, las células normales se dividen más rápidamente para permitir el crecimiento. El cuerpo está compuesto por billones de células vivas. Las células normales del cuerpo crecen, se dividen formando nuevas células y mueren de manera ordenada. Una vez que se llega a la …

Leer Más

CARCINOMA ADENOIDE QUÍSTICO SUBMAXILAR

El carcinoma adenoide quístico submaxilar. La glándula submaxilar o submandibular se sitúa en la celda submaxilar, en la parte alta y central del cuello, bajo la rama horizontal de la mandíbula. Es una glándula lobulada, de consistencia firme, de color rosado. En el área de la glándula submaxilar existen numerosos grupos ganglionares, los que se dividen en pre y retro …

Leer Más

CARCINOMA ADENOIDE QUÍSTICO DE LA TRÁQUEA

El carcinoma adenoide quístico de la tráquea. Un tumor de la tráquea es un crecimiento anormal que se forma en su tráquea. La tráquea transporta el aire que respira por los pulmones. Que comienza justo por debajo del nivel de la laringe (caja de voz) y termina en el pecho, donde las vías respiratorias se dividen en las dos ramas …

Leer Más

CARCINOMA EPIDERMOIDE DEL SENO MAXILAR

El carcinoma epidermoide del seno maxilar. Durante los primeros años de vida de una persona, las células normales se dividen más rápidamente para permitir el crecimiento. El cuerpo está compuesto por billones de células vivas. Las células normales del cuerpo crecen, se dividen formando nuevas células y mueren de manera ordenada. Una vez que se llega a la edad adulta, …

Leer Más

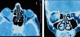
CARCINOMA EPIDERMOIDE DE FOSA NASAL

El carcinoma epidermoide de fosa nasal. Durante los primeros años de vida de una persona, las células normales se dividen más rápidamente para permitir el crecimiento. El cuerpo está compuesto por billones de células vivas. Las células normales del cuerpo crecen, se dividen formando nuevas células y mueren de manera ordenada. Una vez que se llega a la edad adulta, …

Leer Más

CARCINOMA EPIDERMOIDE DE BORDE LATERAL DE LENGUA MÓVIL

El carcinoma epidermoide de borde lateral de lengua móvil. Durante los primeros años de vida de una persona, las células normales se dividen más rápidamente para permitir el crecimiento. El cuerpo está compuesto por billones de células vivas. Las células normales del cuerpo crecen, se dividen formando nuevas células y mueren de manera ordenada. Una vez que se llega a …

Leer Más

CARCINOMA EPIDERMOIDE DE LA CAVIDAD BUCOFARINGEA

El carcinoma epidermoide de la cavidad bucofaríngea. Durante los primeros años de vida de una persona, las células normales se dividen más rápidamente para permitir el crecimiento. El cuerpo está compuesto por billones de células vivas. Las células normales del cuerpo crecen, se dividen formando nuevas células y mueren de manera ordenada. Una vez que se llega a la edad …

Leer Más

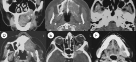
CARCINOMA EPIDERMOIDE DE HIPOFARINGE

El carcinoma epidermoide de hipofaringe. La hipofaringe se extiende desde el plano del hueso hioides por encima del plano del borde inferior del cartílago cricoideo más abajo. La hipofaringe se compone de las siguientes tres partes que no incluye la laringe: El seno piriforme. El área poscricoidea. La pared faríngea posterior. El drenaje linfático de la faringe desemboca en los …

Leer Más

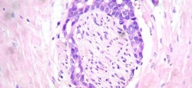
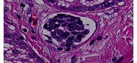
CARCINOMA EPIDERMOIDE DE OÍDO MEDIO

El carcinoma epidermoide de oído medio. Los carcinomas epidermoide de oído medio son raros 1-2/1000000/año. CAE/oído medio: 10/1. Tipo histológico más frecuente Ca epidermoide (70%), seguido del Ca basocelular. Durante los primeros años de vida de una persona, las células normales se dividen más rápidamente para permitir el crecimiento. El cuerpo está compuesto por billones de células vivas. Las células …

Leer Más

CARCINOMA EPIDERMOIDE DE ESÓFAGO

El carcinoma epidermoide de esófago. El esófago es el tubo hueco, muscular que transporta los alimentos y los líquidos desde la garganta al estómago. La pared del esófago comprende varias capas de tejido, incluyendo la membrana mucosa, músculo y tejido conjuntivo. Durante los primeros años de vida de una persona, las células normales se dividen más rápidamente para permitir el crecimiento. El cuerpo está compuesto por billones …

Leer Más

CARCINOMA EPIDERMOIDE DE CERVIX

El carcinoma epidermoide de cérvix. El cérvix es el cuello del útero que se abre a la vagina. El carcinoma epidermoide de cérvix (cuello uterino (CECU) es la segunda neoplasia más frecuente en la mujer, después del cáncer de mama. Durante los primeros años de vida de una persona, las células normales se dividen más rápidamente para permitir el crecimiento. …

Leer Más