viernes , 17 abril 2026
Inicio » Binipatia » Enfermedades (Página 35)

Enfermedades

LESIONES CUTÁNEAS PRECANCEROSAS

Las lesiones cutáneas precancerosas. En la consulta de Dermatolología es frecuente que acudan mujeres de edad media que quieren rejuvenecer. Las arrugas superficiales y profundas, las manchas pigmentarias, las lesiones sobre elevadas que suelen denominar “verrugas”, son un inconveniente estético que desean eliminar. Pero con la misma frecuencia ocurre que una lesión extirpada y estudiada al microscopio sorprende con un …

Leer Más

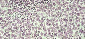
HISTIOCITOMA FIBROSO MALIGNO (MFH)

El histiocitoma  fibroso maligno (MFH). Histiocitoma fibroso maligno (MFH) es un tumor pleomórfico de alto grado formado por fibroblastos, miofibroblastos e histiocitos. HFM es el tumor de tejidos blandos más frecuente en adultos. MFH se encuentra en la extremidad inferior. Otros sitios menos comunes son el retroperitoneo, y la cabeza y el cuello. La mayor incidencia es durante la quinta …

Leer Más

HIPOCROMÍA

La hipocromía. Estado en el que se observa una disminución de la pigmentación cutánea. Coloración o pigmentación disminuida e deficiente o disminución del contenido en hemoglobina de los eritrocitos. La causa más común de hipocromía en los Estados Unidos es la deficiencia de hierro. La hipocrómica es un tipo extremadamente raro de anemia, una enfermedad que consiste en una deficiencia …

Leer Más

HIPERRESPUESTA BRONQUIAL (HRB)

La hiperrespuesta bronquial (HRB). Enfermedad caracterizada por ataques de disnea respiratoria de duración variable con sibilancias y sensación de constricción  debida a espasmo bronquial. Reactividad aumentada de las vías respiratorias inferiores a numerosos estímulos: proceso episódico acompañado de obstrucción reversible. Los sintomas más frecuentes son: sibilancias, disnea, fiebre, tos, expectoración, taquicardia, taquipnea, cianosis, insuficiencia de la respiración, hiperinsuflacion, etc. Información: …

Leer Más

HIPERINSULINISMO

El hiperinsulinismo. La causa se desconoce o no se conoce perfectamente, a saber. Su fisiopatología es extremadamente compleja y solo ha sido dilucidada algunas partes de ella. Por: Salvador Gregori, binipatia.com Resumiendo: La mayoría de estos enfermos tienen una edad algo mayor, son obesos, sedentarios, hipertensión, colesterol y tienen cierto grado de resistencia a la insulina. La resistencia a la …

Leer Más

HIPERCROMÍA

La hipercromía. Estado en el que se observa un incremento de una pigmentación excesiva anormal de la piel, congénitas o adquiridas, como en las personas afectadas de cloasma y melanodermia, entre otras. Se opone a hipocromía. La hipercromía es un trastorno muy común en la piel y aunque puede afectar a cualquier persona, se presenta con mayor frecuencia en mujeres …

Leer Más

HEPATOCARCINOMA FIBROLAMELAR

El hepatocarcinoma fibrolamelar. Tumor maligno en general y especialmente el formado por células epiteliales, a saber. Durante los primeros años de vida de una persona, las células normales se dividen más rápidamente para permitir el crecimiento. El cuerpo está compuesto por billones de células vivas. Las células normales del cuerpo crecen, se dividen formando nuevas células y mueren de manera …

Leer Más

HEPATOMA

El hepatoma. Tumor maligno en general y especialmente el formado por células epiteliales, a saber. El hígado está situado en la parte superior derecha de la cavidad abdominal, debajo del diafragma y por encima del estómago, el riñón derecho y los intestinos. El hígado tiene forma cónica, es de color marrón rojizo oscuro y pesa alrededor de 3 libras. El …

Leer Más

ESTEATOMA

El esteatoma. Tumor, quiste, etc; normalmente es benigno constituido por una masa circunscrita de tejido adiposo ó constituidos por la proliferación de tejido celular subcutáneo. Es un tumor, quiste, absceso, etc; benigno compuesto de tejido adiposo, a veces encapsulado que se manifiestan como masas redondas bien definidas con una pared visible y homogénea. Tiene un crecimiento lento de masa grasa …

Leer Más

ESCLEROSIS LATERAL PRIMARIA

La esclerosis lateral primaria. Se trata de una forma de presentación de la Esclerosis Lateral Amiotrófica (ELA), en la que se afectan de forma exclusiva las neuronas motoras superiores, dando lugar a un cuadro clínico en el que la espasticidad es el rasgo clínico dominante. Algunos de los pacientes afectados por este cuadro clínico nunca presentan signos de afectación de …

Leer Más

ESTRÓFULO

El estrófulo. Dermatitis. Afección cutánea infantil localizada preferentemente en las extremidades inferiores y en ocasiones en el tronco. Se caracteriza por la erupción de pápulas pruriginosas eritematosas que provocan picor. A menudo asociada con la erupción de los dientes y trastornos digestivos. Ver: eccema. 

Leer Más

ESTRELLA VASCULAR

La estrella vascular. Angioma vascular cutáneo de forma estrellada o ramificado que se forma en la cara y en el dorso de las manos y muñecas de los sujetos con alguna patología en el hígado. Pequeño angioma cutáneo formado de un punto rojo central prominente, del tamaño de una cabeza gruesa de alfiler o de una lenteja, rodeado de un …

Leer Más

ESTEATOMATOSIS

El esteatomatosis. Tumor, quiste, etc; normalmente es benigno constituido por una masa circunscrita de tejido adiposo ó constituidos por la proliferación de tejido celular subcutáneo. Es un tumor, quiste, absceso, etc; benigno compuesto de tejido adiposo, a veces encapsulado que se manifiestan como masas redondas bien definidas con una pared visible y homogénea. Tiene un crecimiento lento de masa grasa …

Leer Más

ESMEGMA

El esmegma.  Sustancia espesa, gaseosa, blanquecina y maloliente que procede de la descamación de las células epiteliales de los genitales del hombre y la mujer. Suele aparecer alrededor de los labios menores y clítoris (los labios que protegen la vagina, y alrededor del clítoris, que se encuentra en la parte superior de los labios menores) en la mujer. Y en …

Leer Más

ERITEMA EXUDATIVO MULTIFORME DE HEBRA

El eritema exudativo multiforme de hebra. Actualmente se acepta que se trata de una reacción mediada por inmunocomplejos que puede ser desencadenada por diversos agentes etiológicos. Tipo de dermatosis que puede estar causada por una ingesta de medicamentos especialmente (sulfamidas, antiinflamatorios no esteroides (salicilatos, fenilbutazona, derivados del oxicam, etc.), anticonvulsivantes (difenilhidantoina, barbitúricos, carbamazepina, etc.), antibióticos (penicilina, rifampicina, etc.). a saber. …

Leer Más

ERITEMA INFECCIOSO

El eritema infeccioso. Exantema. Enfermedad vírica, leve y benigna que ocurre en epidemias de primavera y verano que provoca la aparición de erupciones en los brazos, piernas y mejillas. Está causado por el virus humano B19 o enterovirus y afecta especialmente a niños. Los primeros síntomas de la infección son unas mejillas rojas y brillantes, seguido de erupción y fiebre. …

Leer Más

ERISIPELOIDE

La Erisipeloide. Dermatitis infecciosa. Inflamación de la piel de las manos (matarifes y carniceros) producida por la infección de Erysipelothrix rusiopathiae. Su nombre procede de la similitud de los síntomas con la erisipela, aunque es este caso no existe ni fiebre ni alteración del estado general. Pues bien una vez diagnosticado cual es la enfermedad o nombre de dicha patología, …

Leer Más

DISCROMÍA

La discromía. Todo trastorno en la pigmentación o color de la piel. Las discromías pueden deberse a diversas causas: depósitos cutáneos de origen endógeno o exógeno, tatuajes, tratamientos con sales de oro, o a enfermedades que producen alteraciones en la formación de la melanina. Pues bien una vez diagnosticado cual es la enfermedad o nombre de dicha patología, lo primero …

Leer Más

COLLAR DE CASAL

El collar de casal. Erupción en el cuello que aparece en la pelagra (por carencia de ácido nicotínico en la alimentación. Mal de la rosa). Manifestación cutánea de la pelagra localizada alrededor del cuello. Está formada de placas rojas edema tosas que adquieren después una coloración roja oscura, que se pigmentan y se descaman inmediatamente en grandes colgajos, dejando una …

Leer Más