sábado , 18 abril 2026

P

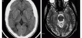
POLIODISTROFIA CEREBRAL PROGRESIVA

La Poliodistrofia cerebral Progresiva o síndrome de alpers. El síndrome de Alpers es una enfermedad rara neurológica y progresiva que comienza generalmente durante la primera infancia y excepcionalmente durante la adolescencia. Los recientes avances en el conocimiento de la estructura y la función de las mitocondrias (parte de la célula, responsable de producir la energía), han permitido descubrir que gran …

Leer Más

POLIQUISTOSIS RENAL (PQR)

La Poliquistosis renal. Es un trastorno renal que se transmite de padres a hijos, en el cual se forman múltiples quistes en los riñones, lo que aumenta su tamaño. Otros Nombres alternativos para esta enfermedad: Riñones quísticos; Riñones poliquísticos; Enfermedad renal poliquística autosómica dominante La poliquistosis renal (PQR) se transmite de padres a hijos (hereditaria), generalmente como un rasgo autosómico …

Leer Más

PARÁLISIS CEREBRAL INFANTIL CUADRIPLEGICA

La parálisis cerebral infantil cuadriplégica. Para la definición y tratamientos. Ver en:   Enfermedad de litte. Si fuese de su deseo le podemos elaborar un plan trofológico personalizado para usted.

Leer Más

PARÁLISIS CEREBRAL ATAXICA

La parálisis cerebral atáxica. Para definición y tratamientos. Si fuese de su deseo le podemos elaborar un plan trofológico personalizado para usted. Ver en: Enfermedad de litte.

Leer Más

PROBLEMAS DEL MANGUITO ROTADOR

Los problemas del manguito rotador. Para más información completa, ver en: Tendinopatía del manguito rotador. Si fuese de su deseo le podemos elaborar un plan trofológico personalizado para usted.

Leer Más

PARALISIS CEREBRAL MONOPLEGICA

La parálisis cerebral monoplegica. Para definición, tratamientos, etc. Ver en: Enfermedad de litte. Si fuese de su deseo le podemos elaborar un plan trofológico personalizado para usted.

Leer Más

PARALISIS CEREBRAL INFANTIL DIPLEGICA

La parálisis cerebral infantil diplégica. Para la definición, tratamientos, ver en: Enfermedad de litte. Si fuese de su deseo le podemos elaborar un plan trofológico personalizado para usted.

Leer Más

PARÁLISIS CEREBRAL ESPASTICA

La parálisis cerebral espástica. Para más definición y tratamientos. Ver en: Enfermedad de litte. Si fuese de su deseo le podemos elaborar un plan trofológico personalizado para usted.

Leer Más

PARÁLISIS CEREBRAL MIXTA

La parálisis cerebral mixta. Para la definición y tratamientos ver en: Enfermedad de litte. Si fuese de su deseo le podemos elaborar un plan trofológico personalizado para usted.

Leer Más

PARÁLISIS CEREBRAL DISCINÉTICA

La parálisis cerebral discinética. Para la definición y tratamientos. Ver en: Enfermedad de litte. Si fuese de su deseo le podemos elaborar un plan trofológico personalizado para usted.

Leer Más

PARÁLISIS CEREBRAL ATACTICA

La parálisis cerebral atáctica. Para definición y tratamientos. Ver en: Enfermedad de litte. Si fuese de su deseo le podemos elaborar un plan trofológico personalizado para usted.

Leer Más

POLIARTRITIS REUMATOIDE (PR)

La poliartritis reumatoide (PR), también llamada poliartritis crónica evolutiva (PCE). También se la denomina reumatismo crónico deformante, poliartritis crónica reumática. Es una patología que afecta sobre todo a las mujeres en (3/4 de los casos) especialmente en el momento de la menopausia. Los factores más desencadenantes suelen ser: anginas, agotamiento, shock moral, vacunación (a la próxima vuélvete a vacunar), traumatismo, …

Leer Más

POLINEUROPATIA DESMIELINIZANTE INFLAMATORIA CRONICA (PDIC)

La polineuropatía desmielinizante inflamatoria crónica. Es una patología  con un trastorno neurológico con signos de debilidad normalmente progresiva y la función sensorial bastante alterada sobre todo en la pierna y brazos. Este problema, que en ocasiones se leda el nombre de polineuropatía crónica recurrente. Es causado normalmente por el daño a la vaina de la mielina, la capa proteica y …

Leer Más

POLIARTRITIS CRONICA EVOLUTIVA (PCE)

La poliartritis crónica evolutiva (PCE). También se la denomina reumatismo crónico deformante, poliartritis crónica reumática, poliartritis reumatoide (PR). Es una patología que afecta sobre todo a las mujeres en (3/4 de los casos) especialmente en el momento de la menopausia. Los factores más desencadenantes suelen ser: anginas, agotamiento, shock moral, vacunación (a la próxima vuélvete a vacunar), traumatismo, el frio …

Leer Más

PRECANCEROSIS CUTÁNEA-S

Las precancerosis cutánea-s. Tumor maligno ó manchas malignas en general y especialmente el formado por células epiteliales o pigmentarias. Los canceres se dividen en dos grandes categorías de carcinoma y sarcoma. La característica básica de la malignidad es una anormalidad de las células, trasmitida a las células hijas, a saber, que se manifiesta por la reducción del control del crecimiento …

Leer Más

PAPULOERITEMATOSO

El papuloeritematoso. Dícese de la alteración cutánea que se caracteriza por la presencia de pápulas (elevación eruptiva pequeña, sólida y circunscrita de la piel constituye una de las lesiones elementales de la piel) sobre un fondo eritematoso (enrojecimiento de la difuso de la piel, producido por la congestión de los capilares). Pues bien una vez diagnosticado cual es la enfermedad …

Leer Más

PSAMOCARCINOMA OVÁRICO

El psamocarcinoma ovárico. Ver cáncer de ovario. Si fuese de su deseo le podemos elaborar un plan trofológico personalizado para usted.

Leer Más

PARAQUERATOSIS

La paraqueratosis. Dermatosis caracterizada por la  formación anormal de células córneas de la piel o epidermis causada por un trastorno de la queratinización persistencia de los núcleos, la formación de queratina y la humedad y tumefacción de las células córneas. Se define como una queratosis imperfecta en donde las células no han alcanzado su grado de maduración completa y en …

Leer Más

PAPULONOCRÓTICO

La papulonocrótico o papulonecrótico. Dícese de la alteración cutánea que se caracteriza por la presencia de pápulas que se necrosan; se aplica ciertas tubercúlides. Pues bien una vez diagnosticado cual es la enfermedad o nombre de dicha patología, lo primero que debería de hacer es él no abusar en cremas o pomadas externas. De lo contrario corre el peligro de …

Leer Más

PRURIGO SIMPLEX CRÓNICO

El prurigo simplex crónico. Enfermedad cutánea que se caracteriza por una sensación de la piel, fisiológica o patológica, que responde normalmente a un estimulo irritativo provocando la respuesta motora de  producir un prurito (picor) intenso, liquenificación, pústulas, pigmentación, urticaria, eritema y lesiones debidas al rascarse intensamente. Pues bien una vez diagnosticado cual es la enfermedad o nombre de dicha patología, …

Leer Más