miércoles , 15 abril 2026
Inicio » Binipatia » Enfermedades (Página 24)

Enfermedades

MELANOMA DEL OIDO

El melanoma del oído. El oído es el órgano responsable no sólo de la audición sino también del equilibrio. Se divide en tres zonas: externa, media e interna. La mayor parte del oído interno está rodeada por el hueso temporal. Durante los primeros años de vida de una persona, las células normales se dividen más rápidamente para permitir el crecimiento. …

Leer Más

LEUCOPLASIA MALIGNA DE LA MUCOSA ORAL

La leucoplasia maligna de la mucosa oral. La leucoplasia se define como una mancha o placa de color blanco, que aparece en la lengua o en las mucosas de la boca, que no puede ser raspada o desprendida y que no puede ser atribuida clínica o patológicamente a ninguna otra enfermedad. La trascendencia de esta lesión estriba en su relativamente …

Leer Más

HIPERINSULINEMIA

Remedios naturales para combatir esta patología

La hiperinsulinemia. La causa se desconoce o no se conoce perfectamente, a saber. Resumiendo: Su fisiopatología es extremadamente compleja y solo ha sido dilucidada algunas partes de ella. La mayoría de estos enfermos tienen una edad algo mayor, son obesos, sedentarios, hipertensión, colesterol y tienen cierto grado de resistencia a la insulina. A leído bien verdad, son (obesos, mayores, sedentarios, …

Leer Más

ENFERMEDAD PRECANCEROSA DE CERVIX

La enfermedad precancerosa de cérvix. Los virus del papiloma humano (VPH) de los tipos 16 y 18 son los principales tipos que se asocian al cáncer ginecológico y genital. A saber, sin olvidar a los demás. Durante los primeros años de vida de una persona, las células normales se dividen más rápidamente para permitir el crecimiento. El cuerpo está compuesto …

Leer Más

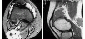
CONDROSARCOMA MESENQUIMATOSO

El condrosarcoma mesenquimatoso. Tumor cartilaginoso maligno que puede desarrollarse en diferentes zonas del cuerpo. Durante los primeros años de vida de una persona, las células normales se dividen más rápidamente para permitir el crecimiento. El cuerpo está compuesto por billones de células vivas. Las células normales del cuerpo crecen, se dividen formando nuevas células y mueren de manera ordenada. Una …

Leer Más

CONDROSARCOMA

El condrosarcoma. Es un tipo de cáncer Se forma en las células de los cartílagos del cuerpo. El cartílago es el tejido conjuntivo. La mayoría de los huesos son formados a partir del cartílago. Se halla en varias áreas del cuerpo. El cartílago es básicamente el tejido resistente elástico que forma una cubierta protectora sobre los extremos de los huesos. …

Leer Más

CLONO

El clono. Es un término médico usado para describir uno de los signos de ciertas alteraciones neurológicas que consiste en la aparición involuntaria de contracciones musculares repetitivas y rítmicas al estirarse ciertos grupos musculares. Ocurre cuando el sistema nervioso central temporalmente deja de inhibir el reflejo tendinoso profundo produciéndose las fuertes contracciones en especial al investigar el tobillo, la rótula y …

Leer Más

CLOASMA

El cloasma. El cloasma, o melasma, se incluye dentro de las afecciones llamadas discromías, que se manifiestan con irregularidades en el color de la piel. El cloasma se caracteriza por el desarrollo de una pigmentación moteada o en parches que aparece de forma lenta y que desaparece con el tiempo. El primer elemento está presente en los glóbulos rojos de la sangre, …

Leer Más

CARCINOMA SUPRAGLOTIS

El carcinoma supraglotis. La supraglotis incluye la epiglotis, las bandas ventriculares o falsas cuerdas vocales, los ventrículos, los repliegues ariepiglóticos y los aritenoides. Hay una clara asociación entre el tabaco, el exceso de ingestión alcohólica y el desarrollo de cáncer de células escamosas del tracto aero-digestivo superior. Si un paciente con un cáncer único continuo fumando y bebiendo alcohol, la …

Leer Más

HEPATITIS G (VHG)

La hepatitis G (VHG), es la inflamación del hígado. Causada por un flavivirus que se ha identificado no hace mucho tiempo, más bien bastante recientemente, con un genoma de ARN de más de 9000 nucleótidos (lejanamente emparejado con el VHC). Aunque frecuente en estado unidos de América. Se ha detectado en un 1.8% de los donantes de sangre y causante …

Leer Más

CLONUS

Los clonus. Serie de contracciones rítmicas e involuntarias, determinadas de un músculo o grupo muscular estriado o conjunto de ellos provocada por la extensión pasiva y brusca de sus tendones; es un consecuencia de una lesión de la vía piramidal, pero también se observa en el histerismo y la epilepsia. Las zonas normalmente más afectadas son el dedo gordo del …

Leer Más

CEFALOPLEJÍA

La cefaloplejia. Parálisis que afecta a los músculos de la cabeza o cráneo y de la cara. Información: Para más información sobre esta enfermedad o patología, si usted cree que es necesario, preguntar a su médico o especialista, libros e inclusive en internet, donde encontraras cientos o miles de páginas, rellenitas de información, que seguramente ya sabe usted, pero no …

Leer Más

CAUSALGIA

La causalgia. Hoy en día, en los países industrializados, aplastamiento o lesiones de presión a los tejidos y su inervación son tan comunes como heridas penetrantes en la iniciación causalgia. Todos estos insultos pueden causar denervación parcial de tejido distal a la lesión. Desde el principio, el riesgo de causalgia se observó a ser mayor después de una lesión parcial de …

Leer Más

CARCINOMA VESICAL

El carcinoma vesical. La vejiga es un órgano que almacena la orina a baja presión, se vacía por completo de forma voluntaria y mantiene la continencia en los intervalos. Anatómicamente está formada por dos capas diferentes: una mucosa en contacto con la orina que se denomina urotelio y un músculo llamado detrusor, situado en profundidad y responsable de la contracción …

Leer Más

CÁNCER DE LAS VÍAS AERODIGESTIVAS SUPERIORES (CVADS)

El cáncer de las vías aerodigestivas superiores (CVADS). Representa la sexta malignidad más común, con una incidencia anual aproximada de 500.000 personas en el mundo. Aunque los principales factores de riesgo para el CVADS siguen siendo la exposición al tabaco y alcohol, el virus del papiloma humano (VPH) recientemente se ha encontrado asociado en la etiología del 20 al 25 …

Leer Más

ARTERIOPATIA DE LOS VASOS INFERIORES

La arteriopatia de los vasos inferiores. Dureza y engrosamiento anormales de las paredes arteriales, resultado de inflamaciones, especialmente de la túnica íntima con tendencia a la obliteración del vaso. Por: Salvador Gregori, binipatia.com Resumiendo: Del corazón nace la arteria pulmonar, que se dirige al pulmón y la aorta, que es la arteria principal del organismo, que se va ramificando progresivamente …

Leer Más

AGRANDAMIENTO DE LA PRÓSTATA

La próstata, suele dar problemas en los hombres en partir de los 47-50 años, no todos por igual eso que quede claro. La causa más numerosa de pacientes es por la hiperplasia benigna de próstata (HPB). El agrandamiento de la próstata, se refiere que se agranda (aumenta de tamaño), con lo cual hay los problemas para poder orinar o dificulta …

Leer Más

CONVULSIÓN

La convulsión. Contracción violenta, involuntaria y momentánea de la musculatoria estriada del cuerpo. Uno o varios grupos musculares que provoca movimientos irregulares localizados o generalizados por todo el cuerpo. Las convulsiones se dividen en tónicas, en las que existe contractura muscular mantenida, y las tónico clónicas, en las que existen períodos alterantes de contracciones y relajación. La convulsión también puede …

Leer Más

DESCAMACIÓN

La descamación. Desprendimiento de la capa córnea de la epidermis en forma de escamas o membranas. Es un fenómeno fisiológico, habitual y necesario en cualquier variedad de tejido epidérmico, pero en determinadas regiones (especialmente, el cuero cabelludo) o en situaciones patológicas (eritrodermia, ictiosis, psoriasis, etcétera) las escamas tienen un tamaño mayor y son visibles a simple vista. Pues bien una …

Leer Más

ECZEMA SEBORREICO

El eczema seborreico. Trastorno funcional de las glándulas sebáceas caracterizadas por hipersecreción y alteraciones cutáneas subsiguientes. Se localiza principalmente en las zonas con mayor número de glándulas sebáceas, como la cara, cuero cabelludo y el tercio superior del tronco. Pues bien una vez diagnosticado cual es la enfermedad o nombre de dicha patología, lo primero que debería de hacer es …

Leer Más