El carcinoma epidermoide de laringe. La laringe desempeña dos funciones de gran importancia. Por un lado facilita el paso del aire desde la boca hasta los pulmones durante la respiración, esencial para la vida y, por otro, permite que podamos hablar y cantar, lo que nos diferencia de otras especies animales. La mucosa de la laringe está formada por células …
Leer MásEnfermedades
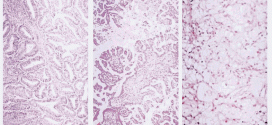
CARCINOMA EPIDERMOIDE SUPRAGLOTIS
El carcinoma epidermoide supraglotis. SUPRAGLOTIS: Es la parte superior de la laringe, ubicada sobre la glotis e incluye la epiglotis. Se extiende desde la punta de la epiglotis a la unión entre el epitelio respiratorio y escamoso, en el piso del ventrículo, por lo que se corresponde con la zona superior de la cuerda vocal. Durante los primeros años de …
Leer MásCARCINOMA EPIDERMOIDE DEL CUELLO UTERINO
El carcinoma epidermoide del cuello uterino. Los virus del papiloma humano (VPH) de los tipos 16 y 18 son los principales tipos que se asocian al cáncer ginecológico y genital. A saber, sin olvidar a los demás. También conocido como cáncer cervical o carcinoma del cuello uterino, suele crecer lentamente por un periodo de tiempo, en sus inicios algunas células …
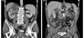
Leer MásCARCINOMA EPIDERMOIDE DEL BAZO
El carcinoma epidermoide del bazo. Tumor maligno en general y especialmente el formado por células epiteliales, a saber. Los canceres se dividen en dos grandes categorías de carcinoma y sarcoma u otros. La característica básica de la malignidad es una anormalidad de las células, transmitida a las células hijas, que se manifiesta por la reducción del control del crecimiento y …
Leer MásCARCINOMA EPIDERMOIDE
El carcinoma epidermoide. Tumor maligno ó manchas malignas en general y especialmente el formado por células epiteliales o pigmentarias. Los tumores de las células escamosas también se dan en áreas de la piel que han estado expuestas al sol, a menudo en la parte superior de la nariz, la frente, el labio inferior y las manos. También se conoce como …
Leer MásCARCINOMA ENDOMETRIOIDE
El carcinoma endometrioide. para el tratamiento u otros: Ver cáncer de ovario.
Leer MásCARCINOMA DUODENAL
El carcinoma duodenal. El duodeno se extiende desde el píloro hasta el ángulo duodeno-yeyunal, es la porción más corta del intestino delgado, mide 25 cm de largo. Adopta la forma de un círculo incompleto, cuya apertura mira hacia arriba y a la izquierda. Se divide en 4 porciones: La 1ª es el bulbo duodenal, de forma triangular, se dirige a …
Leer MásCARCINOMA EN CORAZA
El carcinoma en coraza. Tumor maligno ó manchas malignas en general y especialmente el formado por células epiteliales o pigmentarias. Este tipo de carcinoma puede ser doloroso, aunque por lo general es asintomático (la persona puede no darse casi cuenta en dolor). Esta variante clínica es la alteración cutánea tipo cuero del cáncer de mama esclerosante metastásico, conocido como carcinoma …
Leer MásCARCINOMA DE RIÑON
El carcinoma de riñon. Tumor maligno en general y especialmente el formado por células epiteliales, se presenta en el parénquima del riñón, es la forma más usual de cáncer y se origina en la proliferación de células epiteliales de los túbulos renales. Es más común en hombres que en las mujeres y no es común que afecte a menores de …
Leer MásCARCINOMA DEL VENTRÍCULO LARÍNGEO
El carcinoma del ventrículo laríngeo. Durante los primeros años de vida de una persona, las células normales se dividen más rápidamente para permitir el crecimiento. El cuerpo está compuesto por billones de células vivas. Las células normales del cuerpo crecen, se dividen formando nuevas células y mueren de manera ordenada. Una vez que se llega a la edad adulta, la …
Leer MásCARCINOMA DUCTAL “IN SITU”
El carcinoma ductal “in situ”. Durante los primeros años de vida de una persona, las células normales se dividen más rápidamente para permitir el crecimiento. El cuerpo está compuesto por billones de células vivas. Las células normales del cuerpo crecen, se dividen formando nuevas células y mueren de manera ordenada. Una vez que se llega a la edad adulta, la …
Leer MásCARCINOMA DE VULVA
El carcinoma de vulva. Los virus del papiloma humano (VPH) de los tipos 16 y 18 son los principales tipos que se asocian al cáncer ginecológico y genital. A saber, sin olvidar a los demás. Tumor maligno casi siempre y especialmente el formado por células epiteliales. Durante los primeros años de vida de una persona, las células normales se dividen …
Leer MásCARCINOMA DE VAGINA
El carcinoma de vagina. Los virus del papiloma humano (VPH) de los tipos 16 y 18 son los principales tipos que se asocian al cáncer ginecológico y genital. A saber, sin olvidar a los demás. El cáncer de vagina no es frecuente. Hay dos tipos principales de cáncer de vagina: -Carcinoma de células escamosas: cáncer que se forma en las …
Leer MásCARCINOMA DE LAS CÉLULAS RENALES
El carcinoma de las células renales. Los riñones son un par de órganos en forma de frijol, cada uno alrededor del tamaño del puño de la mano, y con un peso aproximado entre 130 y 140 gramos (aprox. de 4 a 5 onzas). Se ubican en la parte superior trasera de la pared de la cavidad abdominal, uno en cada …
Leer MásCARCINOMA DE CÉLULAS TRANSICIONALES EN PELVIS
El carcinoma de células transicionales en pelvis. La pelvis renal es la parte superior del uréter. El uréter es un tubo largo que conecta el riñón con la vejiga. Hay dos riñones, uno de cada lado de la columna vertebral, encima de la cintura. Los riñones de un adulto miden aproximadamente cinco pulgadas de largo y tres pulgadas de ancho, …
Leer MásCARCINOMA DE CÉLULAS DEL EPITELIO BILIAR
El carcinoma de células del epitelio biliar. Es una enfermedad por la cual se forman células malignas cancerosas en los tejidos de la vesícula biliar es una enfermedad poco frecuente por la que se encuentran células cancerosas en los tejidos de la vesícula biliar. Tumor maligno en general y especialmente el formado por células epiteliales, a saber. Los canceres se …
Leer MásCÁNCER DE LA AMPOLLA DE VATER
El cáncer de la ampolla de vater. La ampolla de Vater es donde el conducto pancreático y el conducto colédoco drenan sus líquidos o jugos en el duodeno. Tumor maligno en general. Es un tumor maligno, que por ejemplo, aproximadamente 56.000 nuevos casos en 2015 y 54.600 muertos en los estados unidos en 2016. E ignoran las grandes bondades de …
Leer MásCÁNCER DE PULMÓN NO ESPECIFICADO
El cáncer de pulmón no especificado. Los pulmones son dos órganos esponjosos y ligeros, los más grandes del organismo, que se encuentran situados en la cavidad torácica, los dos no son exactamente iguales. El pulmón derecho es mayor que el izquierdo, esto es así porque el corazón se encuentra situado en ese lugar. El pulmón derecho se divide en tres …
Leer MásCATARRO
Los catarros y constipados, etc: Para más información o tratamiento. ver resfriado.
Leer MásRESFRIADO
El resfriado o resfriados están provocados por los virus rinovirus, que pertenecen a la familia picornaviridae, son virus pequeños no encapsulados cuyo genoma consta de ARN monocatenario. Se conocen aproximadamente un centenar de serotipos distintos. Los rinovirus son una causa importante de resfriados, de incidencia estacional máxima a comienzos del otoño y en primavera. El número de afectados es máximo …
Leer Más
Binipatia e higienismo Medicina natural alternativa, plantas medicinales y remedios caseros naturales