domingo , 31 mayo 2026
Inicio » Binipatia (Página 76)

Binipatia

DERMATITIS

La dermatitis. Inflamación aguda o crónica de la piel causada por manifestaciones de muy diversa índole: edemas, hiperplasias, costras, bullas, nervios, etcétera). Las consecuencias pueden revestir cierta gravedad (vasculitis necrotizantes) o ser más o menos leves (eczema). Pues bien una vez diagnosticado cual es la enfermedad o nombre de dicha patología, lo primero que debería de hacer es él no …

Leer Más

CÁNCER DE PRÓSTATA

El cáncer de próstata. Tumor maligno en general y especialmente el formado por células epiteliales. Publicado en: binipatia.com Escrito por: Salvador Gregori y Michelle Diggs Etiquetas: defender su propia vida, resultados Resumiendo: La próstata es una glándula que se encuentra debajo de la vejiga de los hombres y produce el líquido para el semen. El cáncer de próstata es común en hombres …

Leer Más

CÁNCER DE PÁNCREAS

El cáncer de páncreas. Tumor maligno en general y especialmente el formado por células epiteliales, a saber. El páncreas es una glándula de aproximadamente seis pulgadas de largo con forma de pera delgada descansando de costado. El extremo más ancho del páncreas se denomina la cabeza, la sección media se denomina el cuerpo y el extremo delgado se denomina la …

Leer Más

CÁNCER DE CABEZA

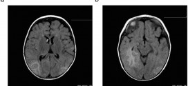
El cáncer de cabeza y cuello o de cerebro. El cáncer de cabeza es un ataque de pequeños tumores. Los médicos todavía no entienden las causas principales por las que aparecen los primeros tumores. Los tumores comienzan a crecer y diseminarse hasta que el cáncer se esparce por todo el cerebro. Cada vez que un tejido anormal o crecimiento celular …

Leer Más

CÁNCER DE FARINGE

El cáncer de faringe. La faringe es un órgano en forma de tubo hueco que comienza detrás de la nariz y baja por la garganta hasta formar parte del esófago. Este órgano incluye el paladar blando, que es la parte posterior de la boca, la base de la lengua y las amígdalas. Tiene como función permitir el paso del aire …

Leer Más

CÁNCER BRONCOPULMONAR

El cáncer broncopulmonar. Tumor maligno en general y especialmente el formado por células epiteliales. El cáncer de pulmón consiste en un crecimiento anormal de las células del pulmón. La enfermedad se produce habitualmente en las paredes internas de los bronquios, y al crecer puede obstruir el paso del aire y alterar la respiración. Por este motivo, produce generalmente falta de …

Leer Más

CÁNCER

El cáncer. Los canceres se dividen en dos-tres grandes categorías de carcinoma y adenocarcinoma u otros. La característica básica de la malignidad es una anormalidad de las células, transmitida a las células hijas, que se manifiesta por la reducción  del control del crecimiento y la función celular, conduciendo a una serie de fenómenos adversos en el huésped, a través de …

Leer Más

CANCERES

Los canceres. Tumores, linfomas, neoplasias, síndromes, leucemias, melanomas o muy similar pueden ser atrófico (el escirroso rodeado de tejido  escleroso y atrófico), dermoide (el que contiene tapones de epitelio con masas coloideas), escirroso (el duro, fibroide y muy maligno, a saber), etc. Durante los primeros años de vida de una persona, las células normales se dividen más rápidamente para permitir …

Leer Más

BULTOS FIBROSOS

Los bultos fibrosos. Tumor, quiste, etc; normalmente es benigno constituido por una masa circunscrita de tejido adiposo, muscular ó constituidos por la proliferación de tejido celular subcutáneo. Es un tumor, quiste, absceso, etc; benigno compuesto de tejido fibroso, a veces encapsulado que se manifiestan como masas redondas bien definidas con una pared visible y homogénea. Tiene un crecimiento lento de …

Leer Más

BULTOS FIBROSOS

Los bultos fibrosos. Tumor, quiste, etc; normalmente es benigno constituido por una masa circunscrita de tejido adiposo, muscular ó constituidos por la proliferación de tejido celular subcutáneo. Es un tumor, quiste, absceso, etc; benigno compuesto de tejido fibroso, a veces encapsulado que se manifiestan como masas redondas bien definidas con una pared visible y homogénea. Tiene un crecimiento lento de …

Leer Más

BULTOS ADIPOSOS

Los bultos adiposos. Tumor, quiste, etc; normalmente es benigno constituido por una masa circunscrita de tejido adiposo ó constituidos por la proliferación de tejido celular subcutáneo. Es un tumor, quiste, absceso, etc; benigno compuesto de tejido adiposo, a veces encapsulado que se manifiestan como masas redondas bien definidas con una pared visible y homogénea. Tiene un crecimiento lento de masa …

Leer Más

BROMHIDROSIS

La bromhidrosis. Secreción sudorosa fétida de olor muy desagradable provocada por la descomposición del sudor por parte de bacterias y levaduras. También llamado bromidrosis. Información: Para más información sobre esta enfermedad o patología, si usted cree que es necesario, preguntar a su médico o especialista, libros e inclusive en internet, donde encontraras cientos o miles de páginas, rellenitas de información, …

Leer Más

BRAQUIALGIA

La braquialgia. Dolor neurálgico en uno o los dos brazos y del plexo braquial (el nervio formado por el entrelazamiento de las ramas anteriores de los últimos cuatro pares cervicales y el primer dorsal, del que salen ramas que inervan todo el miembro superior y se extiende desde los lados de la columna vertebral al hueco axilar, etc.). Información: Para …

Leer Más

BRONQUITIS OBSTRUCTIVA CRÓNICA

La bronquitis obstructiva crónica. Es una enfermedad inflamatoria de los bronquios respiratorios asociada con exposición prolongada a irritantes respiratorios no específicos, incluyendo microorganismos y acompañado por hipersecreción de moco y ciertas alteraciones estructurales en el bronquio, tales como fibrosis, descamación celular, hiperplasia de la musculatura lisa, etc. Es una de las enfermedades más comunes de los pulmones que causa dificultad …

Leer Más

BALISMO

El balismo. Movimiento bruscos, rápidos e irregulares, involuntario de gran amplitud provocado por una disfunción del sistema nervioso central (temblores, parálisis agitante, etc.). La Trofología avanzada cuenta también con un sistema fabuloso de restauración y regeneración Neurológica como lo es:    TRNTA (Terapia de Restauración Neurológica Trofológica Avanzada): Es una estrategia terapéutica que combina métodos de la Trofología avanzada que …

Leer Más

BAILE DE SAN VITO

El baile de san vito. Movimientos relativamente moderados que afectan uno o varios segmentos del cuerpo, sin ritmo ni propagación determinada. Generalmente suele ir acompañada de signos, sintomas y manifestaciones de fiebre reumática. Puede afectar a la cara y la parte distal de las extremidades. La Trofología avanzada cuenta también con un sistema fabuloso de restauración y regeneración Neurológica como …

Leer Más

ADENOCARCINOMA ENDOMETRIOIDE

El adenocarcinoma endometrioide. Durante los primeros años de vida de una persona, las células normales se dividen más rápidamente para permitir el crecimiento. El cuerpo está compuesto por billones de células vivas. Las células normales del cuerpo crecen, se dividen formando nuevas células y mueren de manera ordenada. Una vez que se llega a la edad adulta, la mayoría de …

Leer Más

ADENOCARCINOMA DEL PALADAR

El adenocarcinoma del paladar. Durante los primeros años de vida de una persona, las células normales se dividen más rápidamente para permitir el crecimiento. El cuerpo está compuesto por billones de células vivas. Las células normales del cuerpo crecen, se dividen formando nuevas células y mueren de manera ordenada. Una vez que se llega a la edad adulta, la mayoría …

Leer Más

ADENOCARCINOMA DEL HÍGADO

El adenocarcinoma del hígado. Durante los primeros años de vida de una persona, las células normales se dividen más rápidamente para permitir el crecimiento. El cuerpo está compuesto por billones de células vivas. Las células normales del cuerpo crecen, se dividen formando nuevas células y mueren de manera ordenada. Una vez que se llega a la edad adulta, la mayoría …

Leer Más

ADENOCARCINOMA DEL DUODENO

El adenocarcinoma del duodeno. Durante los primeros años de vida de una persona, las células normales se dividen más rápidamente para permitir el crecimiento. El cuerpo está compuesto por billones de células vivas. Las células normales del cuerpo crecen, se dividen formando nuevas células y mueren de manera ordenada. Una vez que se llega a la edad adulta, la mayoría …

Leer Más