El cáncer de nariz. Tumor, linfomas, neoplasia-s o muy similar pueden ser atrófico (el escirroso rodeado de tejido escleroso y atrófico), dermoide (el que contiene tapones de epitelio con masas coloideas), escirroso (el duro, fibroide y muy maligno, a saber), etc. Durante los primeros años de vida de una persona, las células normales se dividen más rápidamente para permitir el …
Leer MásEnfermedades
CÁNCER DE LENGUA
El cáncer de lengua. Tumor, linfomas, neoplasia-s o muy similar pueden ser atrófico (el escirroso rodeado de tejido escleroso y atrófico), dermoide (el que contiene tapones de epitelio con masas coloideas), escirroso (el duro, fibroide y muy maligno, a saber), etc. Es el cáncer que comienza en la lengua. Cuando el cáncer comienza en los dos tercios anteriores de la …
Leer MásCÁNCER DE LAS TROMPAS DE FALOPIO
El cáncer de las trompas de Falopio. Los virus del papiloma humano (VPH) de los tipos 16 y 18 son los principales tipos que se asocian al cáncer ginecológico y genital. A saber, sin olvidar a los demás. Las trompas de Falopio son conductos que conectan los ovarios y el útero. El cáncer de la trompa de Falopio ocurre cuando …
Leer MásINFLAMACIÓN DE LA PRÓSTATA
La inflamación de la próstata. Ver en prostatitis.
Leer MásHIPERTENSIÓN
La hipertensión o hipertensión esencial. Aumento del tono tensión en general; especialmente aumento de la presión vascular o sanguínea. De ello se derivan algunas cifras medias hipertensión en el hombre: de 40 años: 14/8; de 50 años: 15/8,5; de 60 años: 16/9; de 70 años: 17/9,5; de 75 años: 17,5/9,75; de 80 años: 18/10. En la mujer: de 40 años: …
Leer MásHIPERPLASIA ADENOMATOSA QUÍSTICA DEL ENDOMETRIO
La hiperplasia adenomatosa quística del endometrio. El endometrio se divide en endometrio basal y endometrio funcional. El basal no responde a la progesterona y no se descama. A partir de él se regenera la mucosa. El funcional responde a la progesterona y se descama en la menstruación. La mitad superior de la funcional forma la capa compacta en la fase …
Leer MásESTEATOSIS (hígado graso)
La esteatosis hepática, también llamada hígado graso, esteatohepatitis, es una acumulación de grasas en las células del hígado. El órgano aumenta de tamaño y aparece la grasa dispersa por el tejido hepático, que pueden verse a simple vista. Los síntomas del hígado graso o esteatosis suelen ser fatiga crónica, dolor en la parte superior derecha del abdomen, malestar general y …
Leer MásESCLEROSIS ARTERIAL
La esclerosis arterial. Dureza y engrosamiento anormales de las paredes arteriales, resultado de inflamaciones, especialmente de la túnica íntima con tendencia a la obliteración del vaso. Resumiendo: También va acompañada de una mezcla de sangre, colesterol, grasas y minerales inorgánicos calcáreos. Estos se fijan en las paredes de las arterias pudiendo causar su obstrucción. La consecuencia de esto o final …
Leer MásENFERMEDAD DE ARAN-DUCHENNE
La enfermedad de aran-duchenne. Atrofia muscular progresiva mielógena que comienza en las manos hasta extenderse a todo el brazo. Se debe a una degeneración de las células del asta anterior de la médula espinal o de las neuronas motoras. Afecciones del sistema nervioso central, cerebral, etc, de probable patogenia autoinmune, etc, que se caracteriza por placas de desmielinizacion seguidas de …
Leer MásSARCOMA DE EWING
El sarcoma de ewing. Constituye el 10-15% de los sarcomas óseos. Tiene predilección por las diáfisis de los huesos largos y por los planos. El tumor consta de láminas de células pequeñas y redondas, que se tiñen de azul. Este tumor es miembro de una familia denominada tumores neuroectodérmicos primitivos periféricos (PNET). Suele extenderse a los pulmones, médula ósea y …
Leer MásPAPILOMA
El papiloma. Hipertrofia de las papilas de una superficie cutánea o mucosa. Tumor epitelial benigno que se presenta como una excrecencia de superficie irregular y diversos tamaños. Neoplasia epitelial benigna que presenta una disposición ramificada o lobulillar. Se produce en la piel especialmente de manos y pies y por lesiones en las membranas mucosas de la boca y de las …
Leer MásOSTEOSARCOMA
La denominación «osteosarcoma» se aplica a un grupo heterogéneo de neoplasias malignas de células fusiformes que tienen como rasgo común la producción de hueso inmaduro, también denominado «osteoide». El osteosarcoma es el tumor primario óseo sólido más frecuente, constituyendo aproximadamente un 20% de los sarcomas primarios de hueso. Es un tumor óseo canceroso (maligno) que generalmente se presenta en adolescentes, …
Leer MásNEVO
El nevo o nevus. Los nevus o nevo son tumores benignos del sistema melanocítico. Malformación circunscrita y estable de la piel, no debido a causas externas sino de origen congénito, producido por un exceso de pigmentación e hipertrofia de los tejidos conjuntivo y epidérmico. Tiene un interés particular por su probable relación con el melanoma. Actualmente se piensa que los …
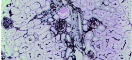
Leer MásNEFRITIS
La nefritis nombre genérico que se refiere a las inflamaciones renales (riñones). Puede ser aguda o crónica. También esta enfermedad es llamada o relacionada con diferentes nombres: glomerulonefritis, nefrocistitis, nefropielitis, pielitis, pielocistitis, glumerulitis, hidronefrosis, nefritis lipoidea, nefritis necrótica, nefritis gravídica, nefritis autoinmune, nefrosis, síndrome nefrótico, nefropatías, etc. Signos: Empieza con malestar general (escalofríos, dolores articulares, entumecimientos, temperatura elevada), cefalea, a …
Leer MásMOLUSCO CONTAGIOSO
El molusco contagioso o molluscum contagiosum. Es una lesión tumoral benigna de la piel por una infección viral. El agente causal es el virus del molluscum contagiosum (MCV) perteneciente a la familia de los poxviridae. Enfermedad cutánea contagiosa ocasionada por un virus que forma pequeños tumores de aspecto perlado con una pequeña depresión en el centro. Afecta principalmente a niños …
Leer MásMELANOMA MALIGNO
El melanoma maligno. Es una neoplasia originada en el melanocito y su localización más frecuente es la piel. Existen cuatro formas comunes de melanoma maligno (MM) y varias formas infrecuentes. Dentro de las primeras se encuentran: el lentigo maligno, el melanoma extensivo superficial, el melanoma acrolentiginoso y el melanoma nodular, y dentro de las últimas encontramos al melanoma desmoplásica, al …
Leer MásMICOSIS FUNGOIDE
Desde el punto de vista clínico, las lesiones cutáneas de la micosis fungoide evolucionan a través de tres estadios: manchas o parches, placas y tumores. Las manifestaciones iniciales son bastante inespecíficas y en estas fases es difícil establecer el diagnóstico con seguridad. La micosis fungoide es un linfoma de células T de la piel (cutánea) de bajo grado, representando el …
Leer MásMELANOSIS DE DUBREUILH
La melanosis de dubreuilh. Durante los primeros años de vida de una persona, las células normales se dividen más rápidamente para permitir el crecimiento. El cuerpo está compuesto por billones de células vivas. Las células normales del cuerpo crecen, se dividen formando nuevas células y mueren de manera ordenada. Una vez que se llega a la edad adulta, la mayoría …
Leer MásMELANOCARCINOMA
El melanocarcinoma. El melanocarcinoma (melanoma maligno) es una neoplasia que se origina de los melanocitos. Durante los primeros años de vida de una persona, las células normales se dividen más rápidamente para permitir el crecimiento. El cuerpo está compuesto por billones de células vivas. Las células normales del cuerpo crecen, se dividen formando nuevas células y mueren de manera ordenada. …
Leer MásLINFOMA MALIGNO DEL HUESO
El linfoma maligno del hueso u óseo. Los huesos forman la estructura que sostiene todo su cuerpo. La mayoría de los huesos son huecos. La parte externa de los huesos consiste en una red de tejido fibroso que se conoce como matriz, en la cual se depositan sales de calcio. La capa externa dura está compuesta de hueso compacto (cortical), …
Leer Más
Binipatia e higienismo Medicina natural alternativa, plantas medicinales y remedios caseros naturales