miércoles , 15 abril 2026
Inicio » Binipatia » Enfermedades (Página 29)

Enfermedades

PARÁLISIS DE ARAN-DUCHENNE

La parálisis de aran-duchenne. Atrofia muscular progresiva mielógena con afección de las raíces nerviosas octava cervical y primera dorsal, con afectación de las neuronas motoras. Producen parálisis fláccida y atrofias musculares de los flexores de los dedos y el cubital anterior, entre otros. Afecciones del sistema nervioso central, cerebral, etc, de probable patogenia autoinmune, etc,  que se caracteriza por placas …

Leer Más

NEOPLASIAS DUODENALES

Las neoplasias duodenales. Tumor maligno en general y especialmente el formado por células epiteliales. Los cánceres se dividen en dos grandes categorías de carcinoma y sarcoma, a saber. La característica básica de la malignidad es una anormalidad de las células, a saber, transmitidas a las células hijas, a saber, que se manifiestan por la reducción del control del crecimiento y …

Leer Más

MORFEA

La morfea. Endurecimiento y esclarecimiento de la piel esclerodermia pero sin alteraciones de los vasos pequeños, circunscrita o en placas. Es una enfermedad que literalmente significa piel dura. La afectación de la piel puede ser MÍNIMA (sólo en dedos y cara, muy lentamente progresiva) o GENERALIZADA (en todo el cuerpo, rápidamente progresiva). Especialmente si no se usa la Trofología. La morfea (esclerodermia …

Leer Más

HEPATITIS A (VHA)

La hepatitis A (VHA). Se Caracterizada clínicamente por malestar, nauseas, vómitos, diarrea y fiebre, con orina oscura, ictericia y hígado grande doloroso; puede ser subclinica y detectarse por la elevación de las transaminasas (AST y ALT). El acusado es un virus, picomavirus (hepatovirus) de 27nm, con un genoma de ARN monocatenario. Transmisión fecal-oral, endémica en países subdesarrollados, a saber; epidemias …

Leer Más

CARCINOMA PULMONAR DE CÉLULAS ESCAMOSAS

El carcinoma pulmonar de células escamosas. Es un tipo de cáncer pulmonar de crecimiento rápido. Se disemina mucho más rápidamente que el cáncer pulmonar de células no pequeñas. Alrededor del 15% de todos los casos de cáncer pulmonar son cáncer pulmonar de células pequeñas (CPCP). Durante los primeros años de vida de una persona, las células normales se dividen más …

Leer Más

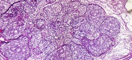
CARCINOMA PAPILAR DE RIÑON

El carcinoma papilar de riñon. Tumor maligno en general y especialmente el formado por células epiteliales, se presenta en el parénquima del riñón, es la forma más usual de cáncer y se origina en la proliferación de células epiteliales de los túbulos renales. Es más común en hombres que en las mujeres y no es común que afecte a menores …

Leer Más

CARCINOMA PAPILAR

El carcinoma papilar. La glándula tiroides está localizada debajo del cartílago tiroideo (la manzana de Adán), en la parte delantera del cuello. En la mayoría de las personas no se puede ver o palpar. Esta glándula, en forma de mariposa, tiene dos lóbulos, el lóbulo derecho y el lóbulo izquierdo, que están unidos por un istmo angosto. Derivado de las …

Leer Más

CARCINOMA MAMARIO

El carcinoma mamario. Durante los primeros años de vida de una persona, las células normales se dividen más rápidamente para permitir el crecimiento. El cuerpo está compuesto por billones de células vivas. Las células normales del cuerpo crecen, se dividen formando nuevas células y mueren de manera ordenada. Una vez que se llega a la edad adulta, la mayoría de …

Leer Más

CARCINOMA LOBULILLAR “IN SITU”

El carcinoma lobulillar “in situ”. En el carcinoma lobulillar in situ (LCIS, siglas en inglés), las células que lucen como células cancerosas están creciendo en los lobulillos de las glándulas productoras de leche del seno, pero no crecen a través de la pared de los lobulillos. Se piensa que el CLIS puede ser un indicador para el incremento del riesgo …

Leer Más

CARCINOMA IN SITU

El carcinoma in situ. Los virus del papiloma humano (VPH) de los tipos 16 y 18 son los principales tipos que se asocian al cáncer ginecológico y genital. A saber, sin olvidar a los demás. Tumor maligno casi siempre y especialmente el formado por células epiteliales. Durante los primeros años de vida de una persona, las células normales se dividen …

Leer Más

CARCINOMA ESCAMOSO VESICAL

El carcinoma escamoso vesical. Tumor maligno en general y especialmente el formado por células epiteliales, a saber. El Carcinoma de Células Escamosas de la Vejiga Urinaria está compuesto por células productoras de queratina (intra o extracelular) o poseedoras de puentes intercelulares. El carcinoma de células escamosas es una entidad muy rara, representa menos del 5% de todos los tumores de …

Leer Más

CARCINOMA ESCAMOSO

El carcinoma escamoso. Los virus del papiloma humano (VPH) de los tipos 16 y 18 son los principales tipos que se asocian al cáncer ginecológico y genital. A saber, sin olvidar a los demás. Tumor maligno casi siempre y especialmente el formado por células epiteliales. Durante los primeros años de vida de una persona, las células normales se dividen más …

Leer Más

CARCINOMA ESCAMOSO DE LA CAVIDAD BUCOFARINGEA

El carcinoma escamoso de la cavidad bucofaríngea. El término cáncer oral se centra en el carcinoma escamoso o Ca. Epidermoide o también llamado epitelioma espinocelular, originado en el epitelio de revestimiento de la mucosa oral, que supone la mayoría de los malignomas que afectan a la cavidad oral. La etiología es desconocida pero sí que se conocen causas que predisponen …

Leer Más

CARCINOMA DE CÉLULAS TRANSICIONALES DE VEJIGA

El carcinoma de células transicionales de vejiga.  Tumor maligno en general y especialmente el formado por células epiteliales, a saber. Durante los primeros años de vida de una persona, las células normales se dividen más rápidamente para permitir el crecimiento. El cuerpo está compuesto por billones de células vivas. Las células normales del cuerpo crecen, se dividen formando nuevas células …

Leer Más

CARCINOMA DE CÉLULAS RENALES NO CLASIFICADO

El carcinoma de células renales no clasificado. Tumor maligno en general y especialmente el formado por células epiteliales.,se presenta en el parénquima del riñón, es la forma más usual de cáncer y se origina en la proliferación de células epiteliales de los túbulos renales. Es más común en hombres que en las mujeres y no es común que afecte a …

Leer Más

NECROSIS PROSTÁTICA

La necrosis prostática. Ver en prostatitis. Si fuese de su deseo le podemos elaborar un plan trofológico personalizado para usted.

Leer Más

LIPOFIBROMA

El lipofibroma. Tumor, quiste, etc; normalmente es benigno constituido por una masa circunscrita de tejido adiposo ó constituidos por la proliferación de tejido celular subcutáneo. Es un tumor, quiste, absceso, etc; benigno compuesto de tejido adiposo, tejido fibroso, a veces encapsulado que se manifiestan como masas redondas bien definidas con una pared visible y homogénea. Tiene un crecimiento lento de …

Leer Más

HIDRADENITIS O HIDRODENITIS SUPURATIVA

La hidradenitis supurativa. Se trata de un proceso inflamatorio supurativo y crónico (a saber) que afecta a las áreas cutáneas con glándulas sudoríperas apocrinas. La sucesión de estos episodios inflamatorios conduce a la destrucción de los apéndices cutáneos de estas zonas, cicatrización parcial y formación de fistulas. La enfermedad no se observa hasta después de la pubertad, momento en el …

Leer Más

ESCLEROSIS EN PLACAS DIMINUTAS

La esclerosis en placas diminutas. Afección del sistema nervioso central de probable patogenia autoinmune, que se caracteriza por placas de desmielinizacion seguidas de esclerosis (endurecimiento o induración morbosa de los tejidos), localizadas en la sustancia blanca del encéfalo y médula. De curso crónico, evoluciona con exacerbaciones y remisiones y sus sintomas son temblor intencional, ataxia, parálisis en los miembros inferiores, …

Leer Más

ESCLEROSIS ARTERIOLAR

La esclerosis arteriolar. Dureza y engrosamiento anormales de las paredes arteriales, resultado de inflamaciones, especialmente de la túnica íntima con tendencia a la obliteración del vaso. Resumiendo: También va acompañada de una mezcla de sangre, colesterol, grasas y minerales inorgánicos calcáreos. Estos se fijan en las paredes de las arterias pudiendo causar su obstrucción. La consecuencia de esto o final …

Leer Más