Las enfermedades degenerativas. Es una enfermedad que provoca la degeneración, es decir, que causa la pérdida o destrucción de la estructura celular y de sus propiedades esenciales. Resumiendo: Por lo tanto una enfermedad degenerativa es generalmente crónica para la medicina en general no para la “binipatia”, seguimos, en la cual las funciones de las estructuras de los órganos o tejidos …
Leer MásBinipatia
POLINEUROPATIA DESMIELINIZANTE INFLAMATORIA CRONICA (PDIC)
La polineuropatía desmielinizante inflamatoria crónica. Es una patología con un trastorno neurológico con signos de debilidad normalmente progresiva y la función sensorial bastante alterada sobre todo en la pierna y brazos. Este problema, que en ocasiones se leda el nombre de polineuropatía crónica recurrente. Es causado normalmente por el daño a la vaina de la mielina, la capa proteica y …
Leer MásEPIFISITIS VERTEBRAL
La epifisitis vertebral. Ver enfermedad de Scheuermann.
Leer MásPOLIARTRITIS CRONICA EVOLUTIVA (PCE)
La poliartritis crónica evolutiva (PCE). También se la denomina reumatismo crónico deformante, poliartritis crónica reumática, poliartritis reumatoide (PR). Es una patología que afecta sobre todo a las mujeres en (3/4 de los casos) especialmente en el momento de la menopausia. Los factores más desencadenantes suelen ser: anginas, agotamiento, shock moral, vacunación (a la próxima vuélvete a vacunar), traumatismo, el frio …
Leer MásENFERMEDAD DE BOUILLAUD
La enfermedad de bouillaud, también llamada reumatismo articular agudo. Es una enfermedad con fiebre reumática, que suele afecta más a los niños y al adolescente, es una inflamación aguda sistémica, generalmente viene por alguna infección de estreptocócica como en las (anginas, faringitis, etc.), que funciona como factor provocante de la enfermedad con la instalación de los fenómenos autoinmunes. Sus manifestaciones …
Leer MásSINOVITIS/SINUVITIS
La sinovitis o sinuvitis. Es una inflamación de la cápsula que envuelve en general a las articulaciones del cuerpo. Puede ser aguda o crónica de la membrana sinovial, de especialmente en las articulaciones. Dicha membrana es un tejido muy fino para recubrir las articulaciones que se parece a un saco, lleno de un líquido muy viscoso y se encuentra en …
Leer MásENFERMEDAD DE DUPUYTREN
La enfermedad de dupuytren o la contractura de dupuytren. Es un trastorno de la mano, que suele provocar la flexión progresiva y permanente en algunos dedos de las manos especialmente el (meñique y el anular) hacia la palma de la mano. Esta enfermedad afecta especialmente a los hombres de más de 50 años, casi siempre a las dos manos, a …
Leer MásSINDROME DE BARRE-LIEOU
El síndrome de barré-lieou. Este síndrome fue descrito por el neurólogo francés Dr. Jean Alexandre barré y por el Dr. Yong choen lieou de china. Es causada por una disfunción de los nervios especialmente del sistema nervioso simpático que se originan en la columna cervical en la parte posterior del cuello especialmente. Los pacientes que padecen de este síndrome tienen …
Leer MásDOLOR DE ESPALDA
El dolor de espalda. Es un dolor que puede ser leve y también constante hasta punzadas agudas repentinas que pueden dificultad los movimientos. Los dolores pueden surgir de repente, por una caída, por levantar peso. Este dolor de espalda puede empeorar poco a poco. El dolor de espalda lo puede sufrir cualquiera, pero hay factores que asen que aumentan el …
Leer MásENFERMEDAD DE SCHEUERMANN
La enfermedad de Scheuermann. Es una alteración de la columna vertebral que afecta especialmente a niños y adultos jóvenes y que suele está provocado por la deformación de los platillos vertebrales o por el apretamiento de varios huesos de la columna vertebral consecutivos. Se desconoce la causa real de la enfermedad de Scheuermann. Se suele manifestar con dolor en la …
Leer MásSINDROME DE LAS PIERNAS INQUIETAS (SPI)
El síndrome de las piernas inquietas (SPI). Es un trastorno muy molesto, el tener que levantarse un montos de veces durante el sueño y el tener que estar caminando hasta agotarse para ver si alivia los picores y hormigueos que le acribillan las piernas es una terrible pesadilla que sufren un gran número de personas con insomnio. Este trastorno no …
Leer MásDISTROFIA MUSCULAR
La distrofia muscular son un grupo de más de 40 enfermedades la mayoría genéticas que provocan debilidad y degeneración progresivamente de los músculos del cuerpo. Resumiendo: Estos trastornos varían en la edad y persona al inicio, la gravedad, y el patrón de músculos afectados. Estos trastornos de la distrofia muscular van empeorando a medida de que los músculos van degenerando …
Leer MásCREMA DE CHAMPIÑON
ingredientes: Champiñón. Cebolla. Harina. preparación: Cortar el champiñón y la cebolla en finas láminas y ponerlos a cocer. Una vez cocinados lo pasamos por la batidora. Servir caliente. Si queremos variar ligeramente el gusto espesando igualmente la crema, podemos añadir un poco de harina colocándolo de nuevo al fuego hasta que espese. Para entender el porqué de estas recetas ver: …
Leer MásPATATAS A LA BECHAMEL
ingredientes: 1kg de patatas nuevas. 60 g de mantequilla. 75g de harina de trigo integral. 1 l de leche entera. 1 cebolla. 2 clavos. 1 hoja de laurel. Nuez moscada. Sal yodada. 100g de tocino en dados. 1 manojo de berros. preparación: Se cepillan las patatas, se lavan y se pones a cocer. Se pasan por el colador, se pelan …
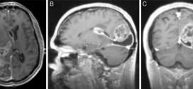
Leer MásESCLEROSIS MIELINOCLASTICA DIFUSA
La esclerosis mielinoclástica difusa. Es un trastorno poco frecuente y se presenta como una lesión desmielinizante Pseudotumor, en lo cual provoca problemas en el diagnóstico, porque se puede confundir con un tumor o un quiste. Es un raro estado de desmielinizacion del sistema nervioso central que suele afecta a niños y adultos jóvenes. Es un foco asimétrico, bastante grande y …
Leer MásESPAGUETIS CON VERDURA
ingredientes: Espaguetis. Puerros. Zanahoria. Pimiento rojo. Cebolla. Aceite. preparación: Cocemos los espaguetis junto con la cebolla en trozos. El doble de agua que de espaguetis. Asamos los pimientos en el horno y cocemos los puerros con las zanahorias. Escurrimos los espaguetis y los ponemos sobre una fuente redonda. Ponemos encima los trozos de puerro y zanahoria. Cortamos en tiras los …
Leer MásADEREZO IDEAL A LAS HIERBAS para las ensaladas
Aderezo ideal para las ensaladas, este tipo de aderezo de hierbas, repletas de antioxidantes, polifenoles e fitoquímicos, además de enriquecer el sabor en sí de las ensaladas, nos aporta saludables sustancias, que bien debemos saber aprovechar mientras comemos. Ingredientes: 2 cucharadas de zumo de limón recién exprimido. ½ taza de aceite de oliva extra virgen de extracción en frio. 1 …
Leer MásENFERMEDADES DESMIELIZANTES
Las enfermedades desmielizantes. Son debidas especialmente por la destrucción de la vaina de mielina de los nervios. Se suele producir en o por determinados procesos patológicos del sistema nervioso, como por ejemplo en infartos, hemorragias, tumores, trastornos metabólicos congénitos, etc. Así como un buen grupo de patologías desmielinizantes. Pues bien se trata de enfermedades neurológicas en general que tienen en …
Leer MásSETAS RELLENAS AICART
Receta deliciosa y muy saludable, de la cual la pueden comer a gusto toda la familia, tanto los adultos como los más pequeños de la casa. Es tan saludable esta receta de setas rellenas Aicart, que inclusive los enfermos la pueden comer con toda la tranquilidad del mundo. Prueben hacer y verán qué fácil es de elaborar y lo bien …
Leer MásARTRITIS POR CRISTALES
La artritis por cristales incluye un grupo de enfermedades determinadas por el depósito de cristales en tejidos articulares y periarticulares. El aspecto clínico de estas enfermedades abarca desde formas asintomáticas a formas graves con marcada destrucción y limitación articular. La artritis por cristales más frecuente más frecuente es la gota, producida por el deposito hístico de cristales de urato monosódico. …
Leer Más
Binipatia e higienismo Medicina natural alternativa, plantas medicinales y remedios caseros naturales